Learn More
Invitrogen™ Hydroxyl-Histone H2A (Tyr39) Recombinant Rabbit Monoclonal Antibody (SR4-17)

Rabbit Recombinant Monoclonal Antibody
Brand: Invitrogen™ MA532004
Description
Recombinant rabbit monoclonal antibodies are produced using in vitro expression systems. The expression systems are developed by cloning in the specific antibody DNA sequences from immunoreactive rabbits. Then, individual clones are screened to select the best candidates for production. The advantages of using recombinant rabbit monoclonal antibodies include: better specificity and sensitivity, lot-to-lot consistency, animal origin-free formulations, and broader immunoreactivity to diverse targets due to larger rabbit immune repertoire.
Histones are basic nuclear proteins that are responsible for the nucleosome structure of the chromosomal fiber in eukaryotes. Two molecules of each of the four core histones (H2A, H2B, H3, and H4) form an octamer, around which approximately 146 bp of DNA is wrapped in repeating units, called nucleosomes. The linker histone, H1, interacts with linker DNA between nucleosomes and functions in the compaction of chromatin into higher order structures. This gene is intronless and encodes a member of the histone H4 family. Transcripts from this gene lack polyA tails but instead contain a palindromic termination element. This gene is found in the large histone gene cluster on chromosome 6.
Specifications
| Hydroxyl-Histone H2A (Tyr39) | |
| Recombinant Monoclonal | |
| 1 mg/mL | |
| TBS with 0.05% BSA, 40% Glycerol and 0.05% sodium azide; pH 7.4 | |
| C0HKE1, C0HKE3, C0HKE4, C0HKE5, C0HKE6, P04908, P0C0S5, P0C0S6, P0C0S7, P0C0S8, P16104, P20671, P27661, Q00728, Q00729, Q8CGP6, Q96A08, Q96KK5, Q96QV6, Q99878 | |
| H2ac1, H2AC11, H2AC12, H2AC13, H2AC14, H2AC4, H2AC7, H2AC8, H2AFX, H2AX, H2AZ1, H2bc1 | |
| Recombinant protein within Human Histone H2A aa 1-83. | |
| 100 μL | |
| Primary | |
| Human, Mouse, Rat | |
| Antibody | |
| IgG |
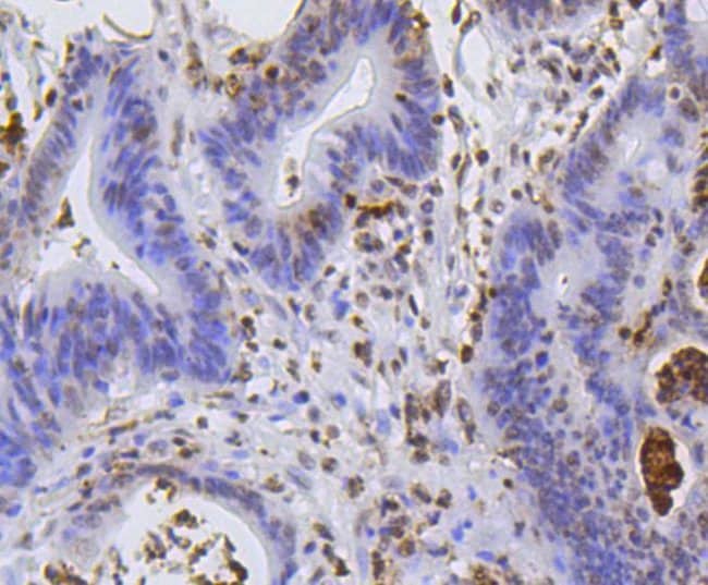
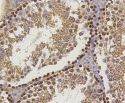
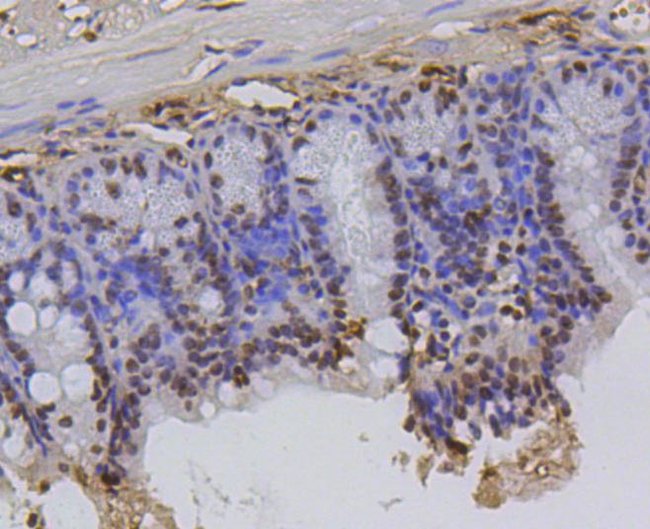
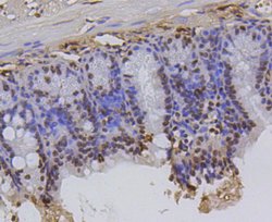
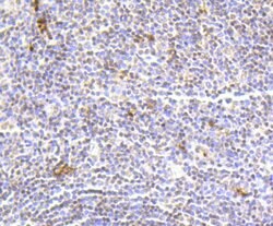
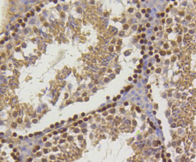
| Immunohistochemistry (Paraffin), Western Blot | |
| SR4-17 | |
| Unconjugated | |
| H2AZ1 | |
| 1190022L06; Acetyl-Histone H2; AW228881; dJ160A22.4; dJ86C11.1; gammaH2ax; H2A; H2A 615 antibody; H2A GL101 antibody; H2A histone; H2A histone family member; H2A histone family member X; H2A histone family member Z; H2A histone family member Z L homeolog; H2A histone family, member A; H2A histone family, member C; H2A histone family, member E; H2A histone family, member G; H2A histone family, member M; H2A histone family, member P; H2A histone family, member Q; H2A histone family, member V; H2A histone family, member X; H2A histone family, member Z; H2A.1; H2A.1 antibody; H2A.1b; H2A.2; H2A.3; H2a.x; H2A.Z; H2A.Z1; H2a.z-1; H2A.Zl; h2a.zl1; h2a.zl2; H2A/a; H2A/c; H2A/d; H2A/E; H2A/g; H2A/m; H2A/p; H2A/q; H2A/S; H2A/X; H2A/z; H2a-291A; H2a-53; h2a-A; H2AC11; H2AC13; H2AC15; H2AC16; H2AC17; h2ad; H2ae; H2AFA; H2AFALii; H2AFC; H2AFD; H2AFE; H2AFG; H2AFI; H2AFM; H2AFN; H2AFP; H2AFQ; H2AFV; H2afx; H2afz; h2afz.L; H2AG; H2A-GL101; H2AH; h2ai; H2A-III; H2ak; H2AK5ac; H2AX; H2AX histone; H2Az; H2AZ histone; HIS; HIST1H2A3; Hist1h2aa; Hist1h2ab; Hist1h2ac; Hist1h2ad; HIST1H2AE; HIST1H2AE antibody; HIST1H2AG; Hist1h2ah; HIST1H2AI; HIST1H2AJ; HIST1H2AK; HIST1H2AL; HIST1H2AM; Hist1h2an; Hist1h2ao; Hist1h2ap; Hist1h2ba; hist2h2ab; hist2h2ab.S; HIST2H2AC; HIST3H2A; Hist5-2ax; histone 1, H2ab; histone 1, H2ad; histone 1, H2ae; histone 1, H2ag; histone 1, H2ah; histone 1, H2ai; histone 1, H2aj; histone 1, H2ba; histone 2, H2ac; histone 2, H2ai; histone 5 protein 2ax; histone cluster 1, H2A, III (similar to human histone cluster 2, class H2A, member C); histone cluster 1, H2aa; histone cluster 1, H2ab; histone cluster 1, H2ad; histone cluster 1, H2ae; histone cluster 1, H2ag; histone cluster 1, H2ah; histone cluster 1, H2ai; histone cluster 1, H2aj; histone cluster 1, H2ba; histone cluster 2, H2ab S homeolog; histone cluster 2, H2ac; histone H2A; histone H2A type 1; Histone H2A type 1-B; Histone H2A type 1-B/E; Histone H2A type 1-C; Histone H2A type 1-D; Histone H2A type 1-E; Histone H2A type 1-G; Histone H2A type 1-H; Histone H2A type 1-I; Histone H2A type 1-J; Histone H2A type 1-N; Histone H2A type 1-O; Histone H2A type 1-P; Histone H2A type 2-C; histone H2A type 4; Histone H2A, testis; Histone H2A.2; Histone H2A.3; histone H2A.x; Histone H2A.Z; histone H2A.Zl2; histone H2A.Z-like; histone H2A/a; Histone H2A/e; Histone H2A/g; histone H2A/m; histone H2A/p; Histone H2A/ptl; Histone H2A/q; histone H2A/s; histone H2AD; histone H2AE; histone H2A-GL101; histone H2A-III; histone H2A-IV; histone H2AX; Histone H2B type 1-A; histone H2B, testis; histone IIa; hypothetical protein; LOC680322; MGC74460 antibody; pH2A/f; RCJMB04_2h11; RGD1562827; RGD1566119; similar to Histone H2A type 1; testis-specific histone 2a; testis-specific histone 2b; testis-specific histone H2B; TH2A; Th2b; XELAEV_18004421mg; XELAEV_18005732mg; XH2AX; XH2AZ | |
| Rabbit | |
| Protein A | |
| RUO | |
| 15270, 221613, 24828, 24829, 255626, 3012, 3013, 3014, 3015, 319165, 319166, 319167, 319168, 319172, 319174, 319191, 500987, 51788, 58940, 680322, 8329, 8331, 8335, 85235, 8969 | |
| Store at 4°C short term. For long term storage, store at -20°C, avoiding freeze/thaw cycles. | |
| Liquid |
Your input is important to us. Please complete this form to provide feedback related to the content on this product.