missing translation for 'onlineSavingsMsg'
Learn More

HYD Polyclonal Antibody, Invitrogen™

Rabbit Polyclonal Antibody

Brand:  Invitrogen PA538247

Product Code. 15565171

  • £441.00 / 100µg

Please to purchase this item. Need a web account? Register with us today!

This item is not returnable. View return policy

Description

Description

EDD (for E3 identified by Differential Display) is a progestin-regulated gene that was isolated from T-47D human breast cancer cells. Based on sequence homology, EDD appears to be a human homolog of the Drosophila hyperplastic discs (hyd) gene, a tumor suppressor gene that is required for control of imaginal disc growth. EDD contains a HECT domain in the carboxy terminus. HECT domain-containing proteins function as ubiquitin-protein ligases, or E3 enzymes. EDD has been shown to bind to ubiquitin, and like other HECT family proteins, may function as an E3 ubiquitin-protein ligase.
TRUSTED_SUSTAINABILITY
Specifications

Specifications

HYD
Polyclonal
Unconjugated
UBR5
EDG1, S1P receptor 1, S1P1, Sphingosine 1-phosphate receptor Edg-1, S1P receptor Edg-1, Endothelial differentiation G-protein coupled receptor 1, EDG1, 1901, EDG1, 601974, P21453, CHEDG1, D1S3362, ECGF1, EDG-1, S1PR1
Rabbit
Antigen affinity chromatography
RUO
51366, 70790
-20°C
Liquid
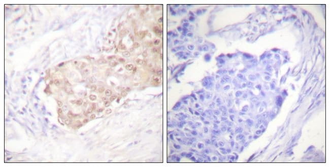
Immunohistochemistry (Paraffin), Western Blot
1 mg/mL
Dulbecco′s PBS with 150mM NaCl, 50% glycerol and 0.02% sodium azide; pH 7.4
O95071, Q80TP3
UBR5
A synthetic peptide derived from the internal region of human EDD
100 μg
Primary
Human, Mouse
Antibody
IgG
Product Suggestions

Product Suggestions

Videos
SDS
Documents

Documents

Certificates
Promotions

Promotions

Product Content Correction

Your input is important to us. Please complete this form to provide feedback related to the content on this product.

Product Title

By clicking Submit, you acknowledge that you may be contacted by Fisher Scientific in regards to the feedback you have provided in this form. We will not share your information for any other purposes. All contact information provided shall also be maintained in accordance with our Privacy Policy.

Thank You! Your feedback has been submitted. Fisher Scientific is always working to improve our content for you. We appreciate your feedback.