missing translation for 'onlineSavingsMsg'
Learn More

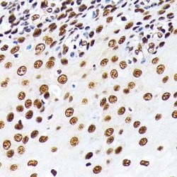
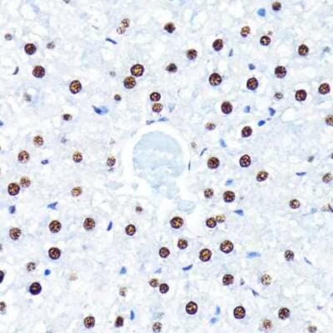
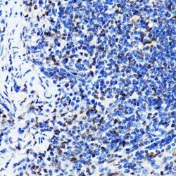
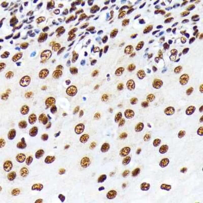
HuR/ELAVL1 Rabbit anti-Human, Mouse, Rat, Clone: 9Q6L3, Novus Biologicals™

Product Code. 18364712
Change view
Click to view available options
Quantity:
100 μg
20 μg
Unit Size:
100µL
20µL
2 product options available for selection
Product selection table with 2 available options. Use arrow keys to navigate and Enter or Space to select.
Product Code. Quantity unitSize
18364712 20 μg 20µL
18306406 100 μg 100µL
Use arrow keys to navigate between rows. Press Enter or Space to select a product option. 2 options available.
2 options
This item is not returnable. View return policy
Product Code. 18364712 Supplier Bio-Techne Supplier No. NBP31582020UL

Please to purchase this item. Need a web account? Register with us today!

This item is not returnable. View return policy

Rabbit Monoclonal Antibody

HuR/ELAVL1 Monoclonal antibody specifically detects HuR/ELAVL1 in Human, Mouse, Rat samples. It is validated for Western Blot, Immunohistochemistry, Immunofluorescence, Immunoprecipitation, Immunohistochemistry (Paraffin), KnockDown
TRUSTED_SUSTAINABILITY

Specifications

Antigen HuR/ELAVL1
Applications Western Blot, Immunohistochemistry, Immunofluorescence, Immunoprecipitation, Immunohistochemistry (Paraffin), KnockDown
Classification Monoclonal
Clone 9Q6L3
Conjugate Unconjugated
Dilution Western Blot, Immunohistochemistry 1:50 - 1:200, Immunocytochemistry/Immunofluorescence, Immunoprecipitation, Immunohistochemistry-Paraffin, Knockout Validated
Formulation PBS, 0.05% BSA, 50% glycerol, pH7.3
Gene Alias ELAV (embryonic lethal, abnormal vision, Drosophila)-like 1 (Hu antigen R), ELAV-like protein 1, embryonic lethal, abnormal vision, drosophila, homolog-like 1, Hu antigen R, Hua, Hu-antigen R, HuR, HURELAV1, MelG
Host Species Rabbit
Immunogen A synthetic peptide corresponding to a sequence within amino acids 1-100 of human HuR/ELAVL1 (Q15717).
Purification Method Affinity purified
Quantity 20 μg
Regulatory Status RUO
Research Discipline Vision
Primary or Secondary Primary
Gene ID (Entrez) 1994
Target Species Human, Mouse, Rat
Content And Storage Store at -20°C. Avoid freeze-thaw cycles.
Form Purified
Isotype IgG
Show More Show Less
Product Title
Select an issue

By clicking Submit, you acknowledge that you may be contacted by Fisher Scientific in regards to the feedback you have provided in this form. We will not share your information for any other purposes. All contact information provided shall also be maintained in accordance with our Privacy Policy.