missing translation for 'onlineSavingsMsg'
Learn More

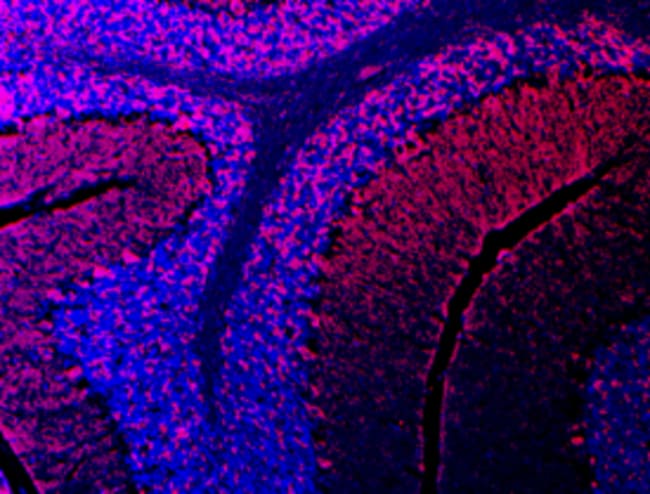
Human/Mouse Semaphorin 3E Antibody, R&D Systems™

Goat Polyclonal Antibody has been used in 4 publications

Brand:  R&D Systems AF3239

Product Code. 18079311

  • £496.00 / 100µg

Please to purchase this item. Need a web account? Register with us today!

This item is not returnable. View return policy

Description

Description

Semaphorin 3E Polyclonal specifically detects Semaphorin 3E in Human, Mouse samples. It is validated for Western Blot, Immunohistochemistry, Immunocytochemistry.
TRUSTED_SUSTAINABILITY
Specifications

Specifications

Semaphorin 3E
Polyclonal
Unconjugated
O15041
SEMA3E
Mouse myeloma cell line NS0-derived recombinant human Semaphorin 3E Thr25-Ser775 (Arg557Ala and Arg560Ala) Accession # O15041
100 μg
Primary
Detects human Semaphorin 3E in direct ELISAs and Western blots. In direct ELISAs, less than 10% cross-reactivity with recombinant human (rh) Semaphorin 3A, rhSemaphorin 3C, rhSemaphorin 3F, and rhSemaphorin 3G is observed.
Human, Mouse
IgG
Western Blot, Immunohistochemistry, Immunocytochemistry
LYOPH
Western Blot 0.1 ug/mL, Immunohistochemistry 5-15 ug/mL, Immunocytochemistry 5-15 ug/mL
(semaphorin) 3E, coll-5, KIAA0331M-SEMAH, sema domain, immunoglobulin domain (Ig), short basic domain, secreted, Sema3E, SEMAH, SEMAHM-SemaK, semaphorin-3E
Goat
Affinity Purified
RUO
9723
Reconstitute at 0.2 mg/mL in sterile PBS.
Use a manual defrost freezer and avoid repeated freeze-thaw cycles. 12 months from date of receipt, -20 to -70 degreesC as supplied. 1 month, 2 to 8 degreesC under sterile conditions after reconstitution. 6 months, -20 to -70 degreesC under sterile conditions after reconstitution.
Product Suggestions

Product Suggestions

Videos
SDS
Documents

Documents

Certificates
Promotions

Promotions

Product Content Correction

Your input is important to us. Please complete this form to provide feedback related to the content on this product.

Product Title

By clicking Submit, you acknowledge that you may be contacted by Fisher Scientific in regards to the feedback you have provided in this form. We will not share your information for any other purposes. All contact information provided shall also be maintained in accordance with our Privacy Policy.

Thank You! Your feedback has been submitted. Fisher Scientific is always working to improve our content for you. We appreciate your feedback.