missing translation for 'onlineSavingsMsg'
Learn More
Learn More
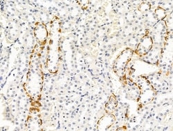
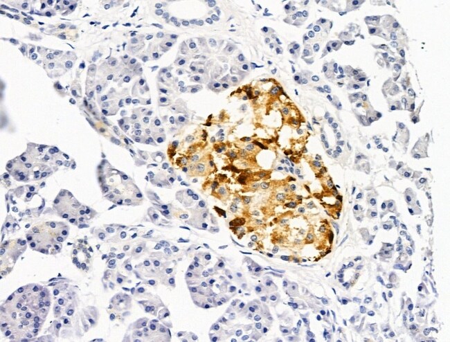
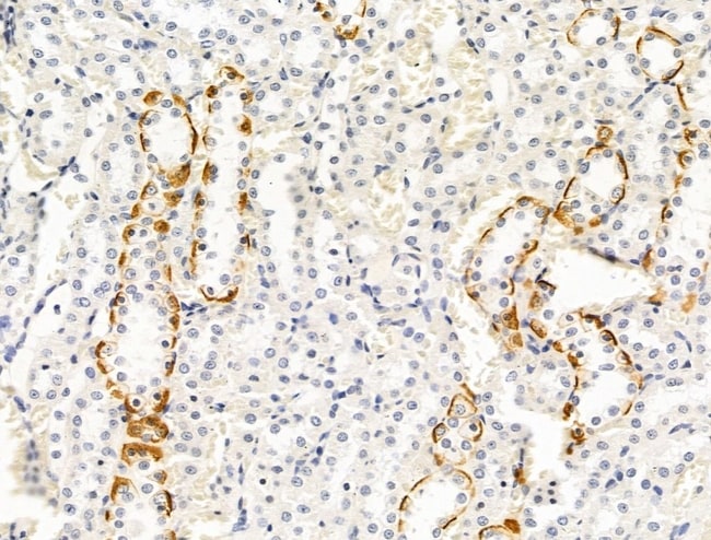
Invitrogen™ G-CSF Polyclonal Antibody

Rabbit Polyclonal Antibody
Brand: Invitrogen™ PA5103863
This item is not returnable.
View return policy
Description
Antibody detects endogenous levels of total G-CSF.
G-CSF (Granulocyte colony stimulating factor) is a naturally occurring cytokine that stimulates the production and antibacterial function of neutrophils and monocytes. Human G-CSF is an 18.8 kDa protein containing 175 amino acid residues, and a soluble isoform of the G-CSF receptor has been described. The pleotropic cytokine is produced by activated monocytes, macrophages, endothelial cells, fibroblasts, astrocytes, osteoblasts and bone marrow cells. G-CSF has been shown to have specific effects on the proliferation, differentiation and activation of hematopoietic cells. G-CSF is also expressed by various transformed cells such as carcinoma cells and myeloblastic leukemia cells. G-CSF is encoded by two distinct DNA sequences, resulting in a full size, high activity and a shorter, low activity isoform of G-CSF. G-CSF is highly conserved among species and has been shown to exert its biological functions through interaction with its receptor expressed on the surface of hematopoietic progenitors, neutrophilic granulocytes and certain carcinoma cell lines. Clinical use of G-CSF has been approved for several therapeutic applications, treatment of neonatal infections, therapy of acute myocardial infarction, granulocyte transfusion in patients with neutropenia, in severe infections and sepsis, therapy in chronic autoimmune neutropenia, treatment of acute myeloid leukemias, Sweet's syndrome and AIDS. Further, G-CSF has been shown to be a marker protein for different carcinomas such as bladder cancer and dysfunction of the protein has been linked to Kostmann Syndrome.
Specifications
| G-CSF | |
| Polyclonal | |
| Unconjugated | |
| Csf3 | |
| C17orf33; colony stimulating factor 3; colony stimulating factor 3 (granulocyte); CSF 3; CSF3; CSF3OS; Csfg; filgrastim; GCSF; G-CSF; Granulocyte colony-stimulating factor; granulocyte-colony stimulating factor; gsf3; lenograstim; MGC45931; MGI-IG; Pluripoietin; RP23-395E10.4 | |
| Rabbit | |
| Affinity chromatography | |
| RUO | |
| 1440, 25610 | |
| -20°C | |
| Liquid |
| Immunohistochemistry, Immunohistochemistry (Paraffin), Western Blot | |
| 1 mg/mL | |
| PBS with 50% glycerol and 0.02% sodium azide; pH 7.4 | |
| P09919 | |
| Csf3 | |
| A synthesized peptide derived from human CSF3(Accession P09919), corresponding to amino acid residues E68-Y118. | |
| 100 μL | |
| Primary | |
| Human, Rat | |
| Antibody | |
| IgG |
Product Content Correction
Your input is important to us. Please complete this form to provide feedback related to the content on this product.
Product Title
Spot an opportunity for improvement?Share a Content Correction