missing translation for 'onlineSavingsMsg'
Learn More

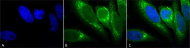
HSPA5 Mouse anti-Human, HRP, Clone:1H11-1H7, Abnova™

Mouse monoclonal antibody raised against human HSPA5.

Brand:  Abnova MAB17322.100ug

Product Code. 16169849

  • £634.00 / 100µg

Please to purchase this item. Need a web account? Register with us today!

This item is not returnable. View return policy

Description

Description

When Chinese hamster K12 cells are starved of glucose, the synthesis of several proteins, called glucose-regulated proteins (GRPs), is markedly increased. Hendershot et al. (1994) [PubMed 8020977] pointed out that one of these, GRP78 (HSPA5), also referred to as ′immunoglobulin heavy chain-binding protein′ (BiP), is a member of the heat-shock protein-70 (HSP70) family and is involved in the folding and assembly of proteins in the endoplasmic reticulum (ER). Because so many ER proteins interact transiently with GRP78, it may play a key role in monitoring protein transport through the cell.[supplied by OMIM]
Specifications

Specifications

HSPA5
Monoclonal
HRP
Immunocytochemistry (1:100)
Immunofluorescence (1:100)
Western Blot (1:2000)
The optimal working dilution should be determined by the end user.
HSPA5
Mouse
100 μg
Human
Antibody
IgG2b
Immunocytochemistry, Immunofluorescence, Western Blot
1H11-1H7
heat shock 70kDa protein 5 (glucose-regulated protein, 78kDa)
In PBS, pH 7.4 (50% glycerol, 0.09% sodium azide)
BIP, FLJ26106, GRP78, MIF2
His-tagged human HSPA5.
3309
Store at -20°C.
Liquid
Product Suggestions

Product Suggestions

Videos
SDS
Documents

Documents

Certificates
Promotions

Promotions

Product Content Correction

Your input is important to us. Please complete this form to provide feedback related to the content on this product.

Product Title

By clicking Submit, you acknowledge that you may be contacted by Fisher Scientific in regards to the feedback you have provided in this form. We will not share your information for any other purposes. All contact information provided shall also be maintained in accordance with our Privacy Policy.

Thank You! Your feedback has been submitted. Fisher Scientific is always working to improve our content for you. We appreciate your feedback.