missing translation for 'onlineSavingsMsg'
Learn More
Learn More
Invitrogen™ HSF1 Monoclonal Antibody (4D5F4)

Mouse Monoclonal Antibody
Brand: Invitrogen™ MA538540
This item is not returnable.
View return policy
Description
This antibody has been tested in indirect ELISA.
All organisms respond to elevated temperatures and a variety of environmental stresses by rapid synthesis of heat shock RNAs and proteins. The regulation of heat shock gene transcription is mediated by the transcriptional activator, heat shock factor (HSF), which binds to heat shock response elements (HSEs). These HSEs are found as three repeats of a 5-nucleotide {nGAAn} module, arranged in alternating orientation and present upstream of all heat shock genes. The HSEs are highly conserved among species yet HSF purified from yeast, Drosophila and human have different molecular weights and the proteins do not show significant immunological cross reaction. Two HSFs have been identified in human cells, HSF1 and HSF2, which bind to the same HSEs and have 38% sequence identity. These factors are activated by distinct stimuli, HSF1 is responsive to classical stress signals such as heat, heavy metals and oxidative reagents, whereas HSF2 is activated during hemin-mediated differentiation of human erythroleukemia cells. HSF1 exists constitutively in the cytoplasm and the nucleus of unstressed cells as a monomer which lacks DNA binding activity. Through an unknown signal generated during stress, HSF1 becomes activated to a nuclear localized, trimeric state which binds to DNA. The phosphorylation of HSF1 is necessary for maximal transcription of heat shock genes.
Specifications
| HSF1 | |
| Monoclonal | |
| 1 mg/mL | |
| PBS with 0.05% sodium azide | |
| Q00613 | |
| Hsf1 | |
| Purified recombinant fragment of human HSF1 (aa: 256-359) expressed in E. Coli. | |
| 100 μg | |
| Primary | |
| Human | |
| Antibody | |
| IgG2b |
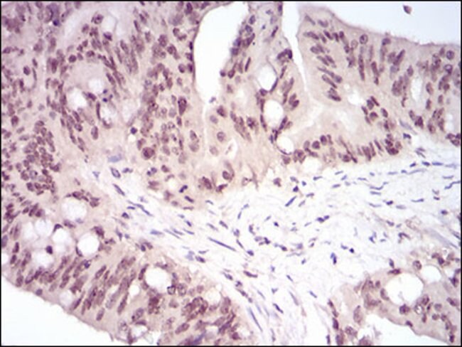
| ELISA, Immunohistochemistry (Paraffin), Western Blot, Immunocytochemistry | |
| 4D5F4 | |
| Unconjugated | |
| Hsf1 | |
| AA960185; heat shock factor 1; heat shock factor 2; Heat shock factor protein 1; Heat shock transcription factor 1; heat shock transcription factor 1 alpha isoform; heat shock transcription factor 1 beta isoform; heat shock transcription factor 1 gammaalpha isoform; heat shock transcription factor 1 gammabeta isoform; HSF; HSF 1; Hsf1; Hsf1alpha; Hsf1beta; Hsf1gammaalpha; Hsf1gammabeta; HSTF 1; HSTF1 | |
| Mouse | |
| Protein G | |
| RUO | |
| 3297 | |
| Store at 4°C short term. For long term storage, store at -20°C, avoiding freeze/thaw cycles. | |
| Liquid |
Product Content Correction
Your input is important to us. Please complete this form to provide feedback related to the content on this product.
Product Title
Spot an opportunity for improvement?Share a Content Correction