missing translation for 'onlineSavingsMsg'
Learn More

Invitrogen™ HSD17B2 Polyclonal Antibody

Rabbit Polyclonal Antibody

Brand:  Invitrogen™ PA554523

Product Code. 15782451

  • £483.00 / 100µL

Please to purchase this item. Need a web account? Register with us today!

This item is not returnable. View return policy

Description

Description

Immunogen sequence: AVTMFSSVMR LELSKWGIKV ASIQPGGFLT NIAGTSDKWE KLEKDILDHL PAEVQEDYGQ DYILAQRNFL LLINSLASKD FSPVL Highest antigen sequence identity to the following orthologs: Mouse - 51%, Rat - 52%.

HSD17B2 is capable of catalyzing the interconversion of testosterone and androstenedione, as well as estradiol and estrone. HSD17B2 also has 20-alpha-HSD activity. HSD17B2 uses NADH while EDH17B3 uses NADPH.
TRUSTED_SUSTAINABILITY
Specifications

Specifications

HSD17B2
Polyclonal
Unconjugated
HSD17B2
1.1.1.239; 17 beta HSD 2; 17 HSD type 2; 17-beta hydroxysteroid dehydrogenase type 2; 17-beta-HSD 2; 17-beta-hydroxysteroid dehydrogenase 2; 17-beta-hydroxysteroid dehydrogenase type 2; 20 alpha HSD; 20 alpha-hydroxysteroid dehydrogenase; 20-alpha-HSD; AI194836; AI194967; AI255511; E2DH; EDH17B2; estradiol 17-beta-dehydrogenase 2; HSD17; HSD17B2; hydroxysteroid (17-beta) dehydrogenase 2; hydroxysteroid 17-beta dehydrogenase 2; microsomal 17-beta-hydroxysteroid dehydrogenase; SDR9C2; short chain dehydrogenase/reductase family 9C member 2; short chain dehydrogenase/reductase family 9C, member 2; tes; testosterone 17-beta-dehydrogenase
Rabbit
Antigen affinity chromatography
RUO
3294
Store at 4°C short term. For long term storage, store at -20°C, avoiding freeze/thaw cycles.
Liquid
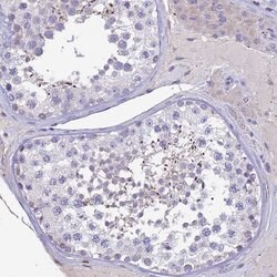
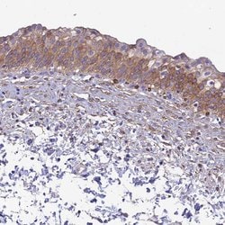
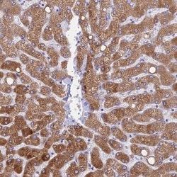
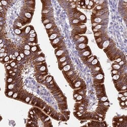
Immunohistochemistry (Paraffin), Western Blot, Immunocytochemistry
0.1 mg/mL
PBS with 40% glycerol and 0.02% sodium azide; pH 7.2
P37059
HSD17B2
Recombinant protein corresponding to Human HSD17B2. Recombinant protein control fragment (Product #RP-90922).
100 μL
Primary
Human
Antibody
IgG
Product Suggestions

Product Suggestions

Videos
SDS
Documents

Documents

Certificates
Promotions

Promotions

Product Content Correction

Your input is important to us. Please complete this form to provide feedback related to the content on this product.

Product Title

By clicking Submit, you acknowledge that you may be contacted by Fisher Scientific in regards to the feedback you have provided in this form. We will not share your information for any other purposes. All contact information provided shall also be maintained in accordance with our Privacy Policy.

Thank You! Your feedback has been submitted. Fisher Scientific is always working to improve our content for you. We appreciate your feedback.