missing translation for 'onlineSavingsMsg'
Learn More
Learn More
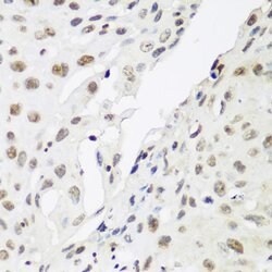
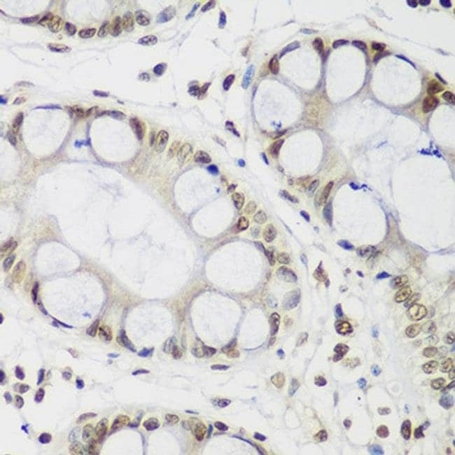
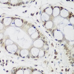
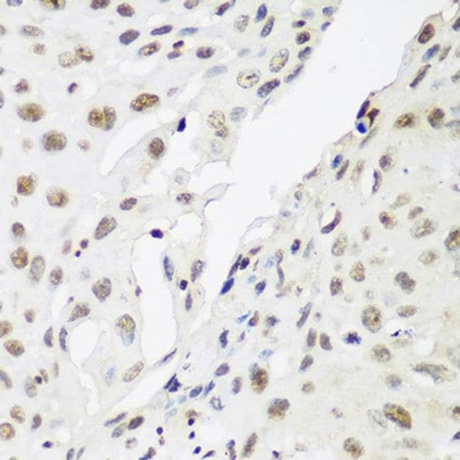
Invitrogen™ HP1 gamma Polyclonal Antibody

Rabbit Polyclonal Antibody
Brand: Invitrogen™ PA586961
This item is not returnable.
View return policy
Description
Purity is > 95% by SDS-PAGE.
At the nuclear envelope, the nuclear lamina and heterochromatin are adjacent to the inner nuclear membrane. The protein encoded by this gene binds DNA and is a component of heterochromatin. This protein also can bind lamin B receptor, an integral membrane protein found in the inner nuclear membrane. The dual binding functions of the encoded protein may explain the association of heterochromatin with the inner nuclear membrane.
Specifications
| HP1 gamma | |
| Polyclonal | |
| Unconjugated | |
| Cbx3 | |
| CBX3; chromobox 3; chromobox homolog 3; chromobox homolog 3 (HP1 gamma homolog, Drosophila); chromobox protein homolog 3; chromobox-like protein 3; HECH; heterochromatin protein 1 gamma; heterochromatin protein 1 homolog gamma; heterochromatin protein HP1 gamma; heterochromatin-like protein 1; HGNC:1553; HP1 gamma; HP1 gamma homolog; HP1g; HP1-GAMMA; HP1Hs-gamma; HPy; M32; Modifier 2 protein; OTTHUMP00000202463 | |
| Rabbit | |
| Antigen Affinity Chromatography | |
| RUO | |
| 11335, 12417, 297093 | |
| Store at 4°C short term. For long term storage, store at -20°C, avoiding freeze/thaw cycles. | |
| Liquid |
| Immunohistochemistry (Paraffin), Immunoprecipitation, Western Blot, Immunocytochemistry | |
| 1 mg/mL | |
| PBS with 50% glycerol and 0.02% sodium azide; pH 7.2 | |
| P23198, Q13185 | |
| Cbx3 | |
| Recombinant fusion protein of human HP1 gamma/HP1 gamma/CBX3. | |
| 100 μL | |
| Primary | |
| Human, Mouse, Rat | |
| Antibody | |
| IgG |
Product Content Correction
Your input is important to us. Please complete this form to provide feedback related to the content on this product.
Product Title
Spot an opportunity for improvement?Share a Content Correction