missing translation for 'onlineSavingsMsg'
Learn More

HO-1/HMOX1/HSP32 Mouse anti-Human, Clone: CL11661, Novus Biologicals™

Product Code. 18349175 Shop All Bio Techne Products
Change view
Click to view available options
Quantity:
100 μg
25 μg
Unit Size:
100µL
25µL
2 product options available for selection
Product selection table with 2 available options. Use arrow keys to navigate and Enter or Space to select.
Product Code. Quantity unitSize
18349175 100 μg 100µL
18372604 25 μg 25µL
Use arrow keys to navigate between rows. Press Enter or Space to select a product option. 2 options available.
2 options
This item is not returnable. View return policy
Product Code. 18349175 Supplier Novus Biologicals Supplier No. NBP315122100UL

Please to purchase this item. Need a web account? Register with us today!

This item is not returnable. View return policy

Mouse Monoclonal Antibody

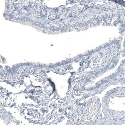
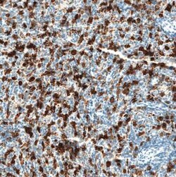
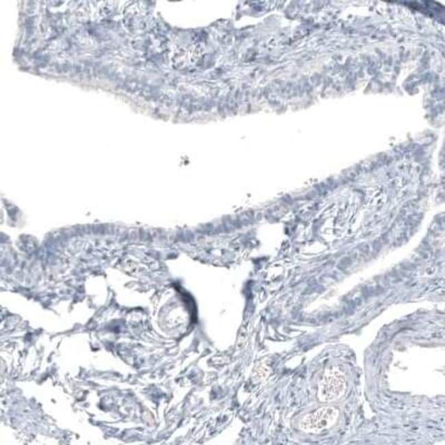
HO-1/HMOX1/HSP32 Monoclonal antibody specifically detects HO-1/HMOX1/HSP32 in Human samples. It is validated for Immunohistochemistry, Immunohistochemistry (Paraffin)
TRUSTED_SUSTAINABILITY

Specifications

Antigen HO-1/HMOX1/HSP32
Applications Immunohistochemistry, Immunohistochemistry (Paraffin)
Classification Monoclonal
Clone CL11661
Conjugate Unconjugated
Dilution Immunohistochemistry 1:500-1:1000, Immunohistochemistry-Paraffin 1:500-1:1000
Formulation PBS (pH 7.2), 40% glycerol
Gene Alias bK286B10, EC 1.14.99.3, heat shock protein, 32-kD, heme oxygenase (decycling) 1, HO, HO1, HO-1heme oxygenase 1, HSP32
Host Species Mouse
Immunogen This antibody was developed against a recombinant protein. Actual immunogen sequence is proprietary information.
Purification Method Protein A purified
Quantity 100 μg
Regulatory Status RUO
Research Discipline Apoptosis, Cellular Markers, ER Markers, Lipid and Metabolism
Primary or Secondary Primary
Gene ID (Entrez) 3162
Target Species Human
Content And Storage Store at 4°C short term. Aliquot and store at -20°C long term. Avoid freeze-thaw cycles.
Form Purified
Isotype IgG1
Show More Show Less
Product Title
Select an issue

By clicking Submit, you acknowledge that you may be contacted by Fisher Scientific in regards to the feedback you have provided in this form. We will not share your information for any other purposes. All contact information provided shall also be maintained in accordance with our Privacy Policy.