missing translation for 'onlineSavingsMsg'
Learn More
Learn More
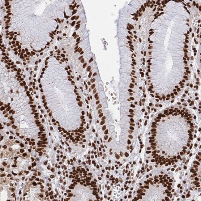
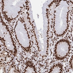
Invitrogen™ hnRNP L Polyclonal Antibody

Rabbit Polyclonal Antibody
Brand: Invitrogen™ PA584079
This item is not returnable.
View return policy
Description
Immunogen sequence: YKDFSESRNN RFSTPEQAAK NRIQHPSNVL HFFNAPLEVT EENFFEICDE LGVKRPSSVK VFSGKSERSS SGLLEWESKS DALETLGFLN HYQMK Highest antigen sequence indentity to the following orthologs: Rat - 98%, Mouse - 98%.
Heterogeneous nuclear RNAs (hnRNAs) which include mRNA precursors and mature mRNAs are associated with specific proteins to form heterogenous ribonucleoprotein (hnRNP) complexes. Heterogeneous nuclear ribonucleoprotein L is among the proteins that are stably associated with hnRNP complexes and along with other hnRNP proteins is likely to play a major role in the formation, packaging, processing, and function of mRNA. Heterogeneous nuclear ribonucleoprotein L is present in the nucleoplasm as part of the HNRP complex. HNRP proteins have also been identified outside of the nucleoplasm. Exchange of hnRNP for mRNA-binding proteins accompanies transport of mRNA from the nucleus to the cytoplasm. Since HNRP proteins have been shown to shuttle between the nucleus and the cytoplasm, it is possible that they also have cytoplasmic functions. Two transcript variants encoding different isoforms have been found for this gene.
Specifications
| hnRNP L | |
| Polyclonal | |
| Unconjugated | |
| HNRNPL | |
| C79783; D830027H13Rik; Fblim1; FLJ35509; Heterogeneous nuclear ribonucleoprotein L; heterogenous nuclear ribonucleoprotein L; hnRNP L; Hnrnpl; hnRNP-L; Hnrpl; P/OKcl.14 | |
| Rabbit | |
| Antigen affinity chromatography | |
| RUO | |
| 3191 | |
| Store at 4°C short term. For long term storage, store at -20°C, avoiding freeze/thaw cycles. | |
| Liquid |
| Immunohistochemistry (Paraffin), Western Blot | |
| 0.1 mg/mL | |
| PBS with 40% glycerol and 0.02% sodium azide; pH 7.2 | |
| P14866 | |
| HNRNPL | |
| Recombinant protein corresponding to Human HNRNPL. Recombinant protein control fragment (Product #RP-98900). | |
| 100 μL | |
| Primary | |
| Human | |
| Antibody | |
| IgG |
Product Content Correction
Your input is important to us. Please complete this form to provide feedback related to the content on this product.
Product Title
Spot an opportunity for improvement?Share a Content Correction