Learn More
Invitrogen™ hnRNP H1 Polyclonal Antibody

Rabbit Polyclonal Antibody
Brand: Invitrogen™ PA5120964
Description
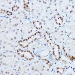
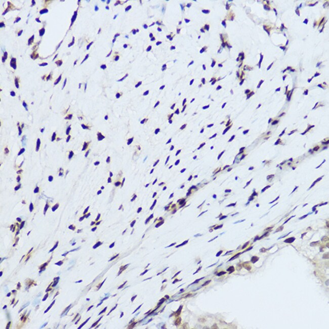
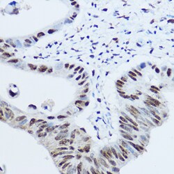
Positive test controls include: Rat testis, Rat brain. The target is usually found in the following locations: Nucleus, nucleoplasm. Immunogen sequence: VRTHYDPPRK LMAMQRPGPY DRPGAGRGYN SIGRGAGFER MRRGAYGGGY GGYDDYNGYN DGYGFGSDRF GRDLNYCFSG MSDHRYGDGG STFQSTTGHC VHMRGLPYRA TENDIYNFFS PLNPVRVHIE IGPDGRVTGE ADVEFATHED AVAAMSKDKA NMQHRYVELF LNSTAGASGG AYEHRYVELF LNSTAGASGG AYGSQMMGGM GLSNQSSYGG PASQQLSGGY GGGYGGQSSM SGYDQVLQEN SSDFQSNIA.
This gene encodes a member of a subfamily of ubiquitously expressed heterogeneous nuclear ribonucleoproteins (hnRNPs). The hnRNPs are RNA binding proteins that complex with heterogeneous nuclear RNA. These proteins are associated with pre-mRNAs in the nucleus and appear to influence pre-mRNA processing and other aspects of mRNA metabolism and transport. While all of the hnRNPs are present in the nucleus, some may shuttle between the nucleus and the cytoplasm. The hnRNP proteins have distinct nucleic acid binding properties. The protein encoded by this gene has three repeats of quasi-RRM domains that bind to RNA and is very similar to the family member HNRPF. This gene may be associated with hereditary lymphedema type I. Alternatively spliced transcript variants have been described.
Specifications
| hnRNP H1 | |
| Polyclonal | |
| Unconjugated | |
| Hnrnph1 | |
| AI642080; E430005G16Rik; Heterogeneous nuclear ribonucleoprotein H; Heterogeneous nuclear ribonucleoprotein H, N-terminally processed; heterogeneous nuclear ribonucleoprotein H1; heterogeneous nuclear ribonucleoprotein H1 (H); hnRNP H; Hnrnph; HNRNPH1; HNRPH; HNRPH1; Ratsg1 | |
| Rabbit | |
| Affinity Chromatography | |
| RUO | |
| 140931, 3187, 59013 | |
| -20°C, Avoid Freeze/Thaw Cycles | |
| Liquid |
| ELISA, Immunohistochemistry (Paraffin), Western Blot, Immunocytochemistry | |
| 1.25 mg/mL | |
| PBS with 50% glycerol and 0.01% thimerosal; pH 7.3 | |
| O35737, P31943, Q8VHV7 | |
| Hnrnph1 | |
| Recombinant fusion protein containing a sequence corresponding to amino acids 191-449 of human HNRNPH1 (NP_005511.1). | |
| 100 μL | |
| Primary | |
| Human, Mouse, Rat | |
| Antibody | |
| IgG |
Your input is important to us. Please complete this form to provide feedback related to the content on this product.