Learn More
Invitrogen™ hnRNP A1 Polyclonal Antibody

Rabbit Polyclonal Antibody
Brand: Invitrogen™ PA596700
Description
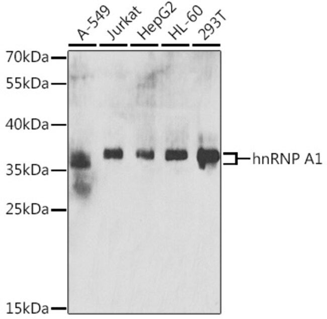
Immunogen sequence: MSKSESPKEP EQLRKLFIGG LSFETTDESL RSHFEQWGTL TDCVVMRDPN TKRSRGFGFV TYATVEEVDA AMNARPHKVD GRVVEPKRAV SREDSQRPGA HLTVKKIFVG GIKEDTEEHH LRDYFEQYGK IEVIEIMTDR GSGKKRGFAF VTFDDHDSVD KIVIQKYHTV NGHNCEVRKA LSKQEMASAS SSQRGRSGSG NFGGGRGGGF GGNDNFGRGG NFSGRGGFGG SRGGGGYGGS GDGYNGFGND GGYGGGGPGY SGGSRGYGSG GQGYGNQGSG YGGSGSYDSY NNGGGGGFGG GSGSNFGGGG SYNDFGNYNN QSSNFGPMKG GNFGGRSSGP YGGGGQYFAK PRNQGGYGGS SSSSSYGSGR RF; Positive Samples: A-549, Jurkat, HepG2, HL-60, 293T; Cellular Location: Cytoplasm, Nucleus.
HnRNP A1 belongs to the A/B subfamily of ubiquitously expressed heterogeneous nuclear ribonucleoproteins (hnRNPs). The hnRNPs are RNA binding proteins and they complex with heterogeneous nuclear RNA (hnRNA). These proteins are associated with pre mRNAs in the nucleus and appear to influence pre mRNA processing and other aspects of mRNA metabolism and transport. While all of the hnRNPs are present in the nucleus, some seem to shuttle between the nucleus and the cytoplasm. The hnRNP proteins have distinct nucleic acid binding properties. hnRNP A1 has two repeats of quasi RRM domains that bind to RNAs. It is one of the most abundant core proteins of hnRNP complexes and it is localized to the nucleoplasm. This protein, along with other hnRNP proteins, is exported from the nucleus, probably bound to mRNA, and is immediately re imported.
Specifications
| hnRNP A1 | |
| Polyclonal | |
| Unconjugated | |
| Hnrnpa1 | |
| ALS19; ALS20; Fli-2; Hdp; HDP-1; Helix-destabilizing protein; heterogeneous nuclear ribonucleoprotein A1; Heterogeneous nuclear ribonucleoprotein A1, N-terminally processed; heterogeneous nuclear ribonucleoprotein A1B protein; heterogeneous nuclear ribonucleoprotein B2 protein; heterogeneous nuclear ribonucleoprotein core protein A1; hnRNP A1; hnRNP A1-like 3; hnRNP core protein A1; hnRNP core protein A1-like 3; hnRNP I; Hnrnpa1; hnRNP-A1; HNRNPI; HNRNP-I; Hnrpa1; HNRPA1L3; HNRPA1MGC102835; HNRPI; I79_022927; IBMPFD3; MGC102835; MGC128297 protein; nuclear ribonucleoprotein particle A1 protein; pPTB; PTB; PTB-1; PTB2; PTB3; PTB4; PTB-T; putative heterogeneous nuclear ribonucleoprotein A1-like 3; Putative heterogeneous nuclear ribonucleoprotein A1-like protein 3; ROA1; RP11-78J21.1; single-strand DNA-binding protein UP1; single-strand RNA-binding protein; Single-strand-binding protein; Tis; Topoisomerase-inhibitor suppressed; unwinding protein 1; UP 1; UP1 | |
| Rabbit | |
| Affinity Chromatography | |
| RUO | |
| 15382, 29578, 3178 | |
| -20°C, Avoid Freeze/Thaw Cycles | |
| Liquid |
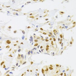
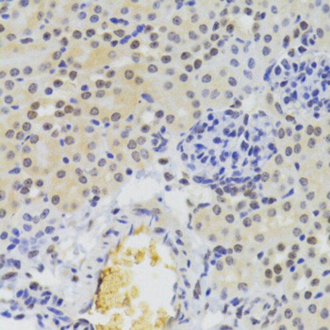
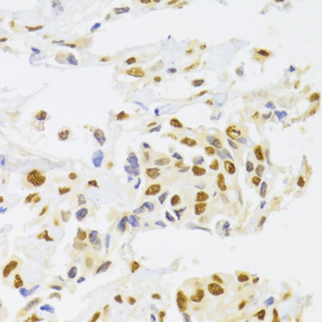
| ELISA, Immunohistochemistry (Paraffin), Western Blot, Immunocytochemistry | |
| 0.2 mg/mL | |
| PBS with 50% glycerol and 0.02% sodium azide; pH 7.3 | |
| P04256, P09651, P49312 | |
| Hnrnpa1 | |
| Recombinant fusion protein containing a sequence corresponding to amino acids 1-372 of human hnRNP A1 (NP_1124201). | |
| 100 μL | |
| Primary | |
| Human, Mouse, Rat | |
| Antibody | |
| IgG |
Your input is important to us. Please complete this form to provide feedback related to the content on this product.