missing translation for 'onlineSavingsMsg'
Learn More
Learn More
Description
Immunogen sequence: SMNNLYTPYH KDVAGMGQSL SPLSSSGLGS IHNSQQGLPH YAHPGAAMPT DKMLTPNGFE AHHPAMLGRH GEQHLTPTSA GMVPINGLPP HHPHAHLNAQ GHGQLLGTAR EPNPSVTGAQ VSNGSNSGQM EEINTKEV Highest antigen sequence identity to the following orthologs: Mouse - 99%, Rat - 99%.
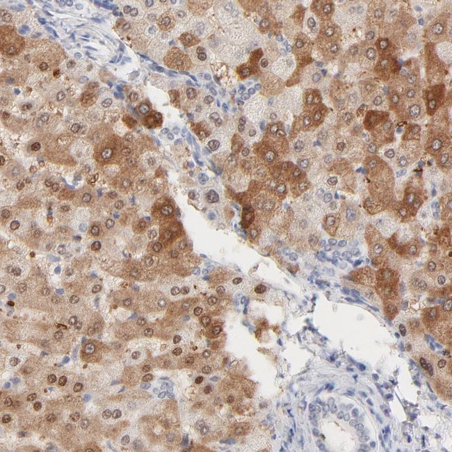
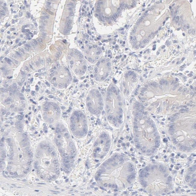
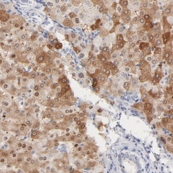
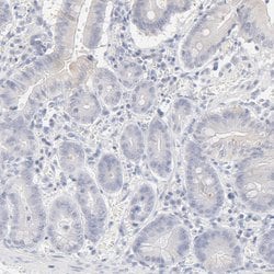
Hepatocyte nuclear factor 6 is a CUT homeobox family protein which is a transcription factor and contains a CUT DNA-binding domain and a homeobox DNA-binding domain. It is an upstream regulator of several genes involved in the pathogenesis of maturity-onset diabetes of the young. HNF6 is a ligand of the FOXM1 transcription factor network. HNF6, along with HNF4, controls gene expression in the liver. The expression levels of HNF6 and HNF4 rise steadily during development and that up- or down regulation of HNF6 and HNF4 expression generate premature or delayed expression of the g6pc gene.
Specifications
Specifications
| Antigen | HNF6 |
| Applications | Immunohistochemistry (Paraffin), Western Blot |
| Classification | Polyclonal |
| Concentration | 0.1 mg/mL |
| Conjugate | Unconjugated |
| Formulation | PBS with 40% glycerol and 0.02% sodium azide; pH 7.2 |
| Gene | ONECUT1 |
| Gene Accession No. | Q9UBC0 |
| Gene Alias | D9Ertd423e; hepatic nuclear factor 6; hepatocyte nuclear factor 6; hepatocyte nuclear factor 6 alpha; hepatocyte nuclear factor 6, alpha; Hfh12; HNF-3/forkhead homolog 12; hnf6; HNF-6; Hnf6a; HNF-6a; Hnf6b; Oc1; OC-1; One cut domain family member 1; one cut domain, family member 1; one cut domain, family member 1, like; one cut homeobox 1; Onecut1; onecut-1 isoform a; onecut-1 isoform b; onecut1 protein; onecut1l; transcription factor; hepatocyte nuclear factor 6; hnf-6; zgc:65904; zgc:77450 |
| Gene Symbols | ONECUT1 |
| Show More |
Product Title
By clicking Submit, you acknowledge that you may be contacted by Fisher Scientific in regards to the feedback you have provided in this form. We will not share your information for any other purposes. All contact information provided shall also be maintained in accordance with our Privacy Policy.
Spot an opportunity for improvement?
