Learn More
Invitrogen™ Histone H4 Recombinant Rabbit Monoclonal Antibody (SD209-04)

Rabbit Recombinant Monoclonal Antibody
Brand: Invitrogen™ MA532370
Description
Recombinant rabbit monoclonal antibodies are produced using in vitro expression systems. The expression systems are developed by cloning in the specific antibody DNA sequences from immunoreactive rabbits. Then, individual clones are screened to select the best candidates for production. The advantages of using recombinant rabbit monoclonal antibodies include: better specificity and sensitivity, lot-to-lot consistency, animal origin-free formulations, and broader immunoreactivity to diverse targets due to larger rabbit immune repertoire.
Histones are basic nuclear proteins that are responsible for the nucleosome structure of the chromosomal fiber in eukaryotes. Two molecules of each of the four core histones (H2A, H2B, H3, and H4) form an octamer, around which approximately 146 bp of DNA is wrapped in repeating units, called nucleosomes. The linker histone, H1, interacts with linker DNA between nucleosomes and functions in the compaction of chromatin into higher order structures. This gene is intronless and encodes a member of the histone H4 family. Transcripts from this gene lack polyA tails but instead contain a palindromic termination element. This gene is found in the large histone gene cluster on chromosome 6.
Specifications
| Histone H4 | |
| Recombinant Monoclonal | |
| 1 mg/mL | |
| TBS with 0.05% BSA, 40% Glycerol and 0.05% sodium azide; pH 7.4 | |
| P62804, P62805, P62806 | |
| H4-16, H4C1, H4C11, H4C14, H4C2, H4C5, H4C9, HIST1H4A | |
| Synthetic peptide within C-terminal Human Histone H4 aa 54-103. | |
| 100 μL | |
| Primary | |
| Human, Mouse, Rat | |
| Antibody | |
| IgG |
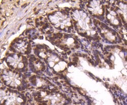
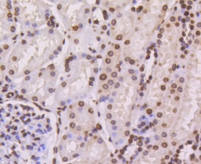
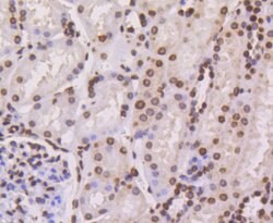
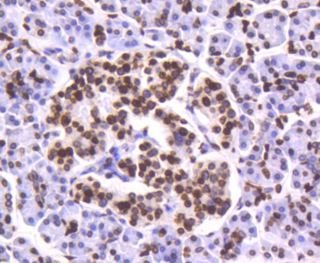
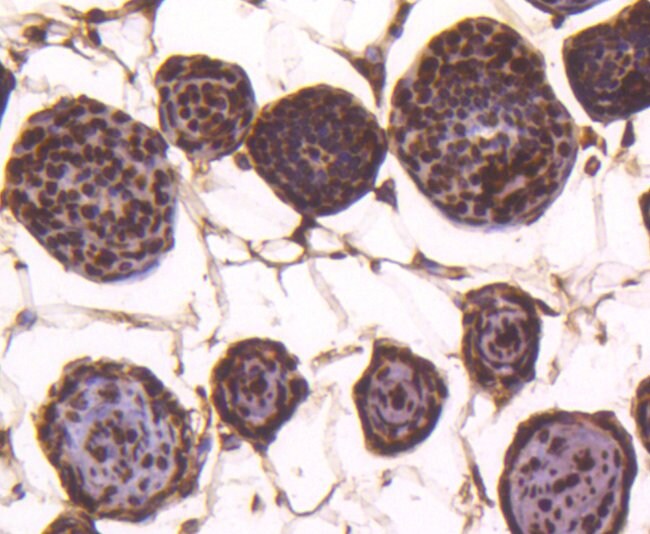
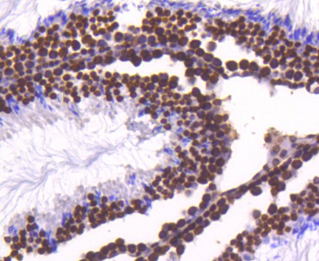
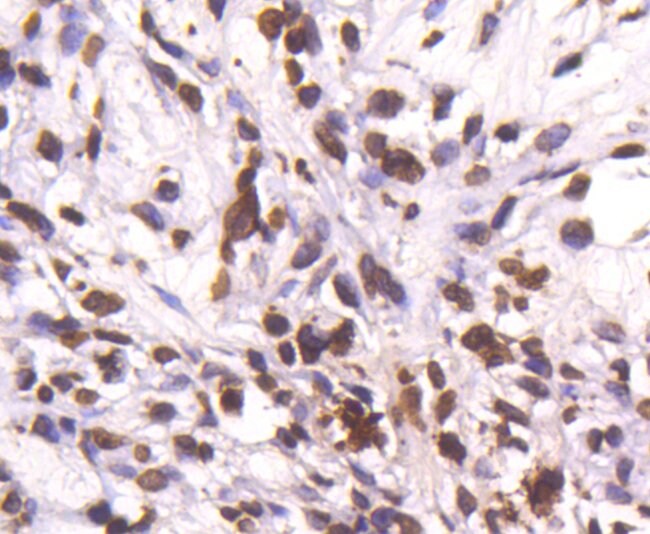
| ChIP Assay, Immunohistochemistry (Paraffin), Western Blot, Immunocytochemistry | |
| SD209-04 | |
| Unconjugated | |
| H4C1 | |
| BcDNA:RH52884; BUR5; CELE_T10C6.11; CG31611; CG3379; CG3379-PA; CG3379-PB; CG3379-PC; CG3379-PD; CG33869; CG33871; CG33873; CG33875; CG33877; CG33879; CG33881; CG33883; CG33885; CG33887; CG33889; CG33891; CG33893; CG33895; CG33897; CG33899; CG33901; CG33903; CG33905; CG33907; CG33909; Dmel\CG3379; Dmel_CG3379; F07B7.11; F07B7.4; F45F2.12; FBtr0082962; FO108; germinal histone H4; H1ft; H4; H4 clustered histone 11; H4 clustered histone 2; H4 histone family, member A; H4 histone family, member I; H4 histone family, member J; H4 histone family, member M; H4 histone family, member N; H4 histone, family 2; H4.1; H4/A; H4/B; H4/C; H4/D; H4/E; H4/G; H4/H; H4/I; H4/J; H4/K; H4/M; H4/N; H4/O; H4/p; H4-12; H4-16; H4-53; H4c1; H4C11; H4c12; H4C13; H4c14; H4C15; H4C2; H4c3; H4C4; H4C5; H4c6; H4c8; H4C9; H4f16; H4F2; H4FA; H4FB; H4FC; H4FD; H4FE; H4FG; H4FH; H4FI; H4FJ; H4FK; H4FM; H4FN; H4FO; H4ft; H4M; H4r; HHF1; HHF2; HHT1; HHT2; his-20; his-22; His4; his-4; His4:CG31611; His4:CG33869; His4:CG33871; His4:CG33873; His4:CG33875; His4:CG33877; His4:CG33879; His4:CG33881; His4:CG33883; His4:CG33885; His4:CG33887; His4:CG33889; His4:CG33891; His4:CG33893; His4:CG33895; His4:CG33897; His4:CG33899; His4:CG33901; His4:CG33903; His4:CG33905; His4:CG33907; His4:CG33909; His4-88CD; His4r; His4r-PA; His4r-PB; His4r-PC; His4r-PD; his-52; his-54; his-8; HIST1H46L2; HIST1H4A; hist1h4a.L; Hist1h4b; HIST1H4C; HIST1H4D; HIST1H4E; Hist1h4f; Hist1h4h; Hist1h4i; Hist1h4j; HIST1H4K; HIST1H4L; Hist1h4m; HIST2H4; Hist2h4a; HIST2H4B; Hist4; Hist4h4; histone 1, H4a; histone 1, H4b; histone 1, H4e; histone 1, H4i; histone 1, H4l; histone 2, H4; histone 2, H4a; Histone 4; Histone 4 family, member M; histone 4, H4; histone cluster 1, H4a; histone cluster 1, H4a L homeolog; histone cluster 1, H4b; histone cluster 1, H4e; histone cluster 1, H4i; histone cluster 1, H4-IV, germinal H4-like 2; histone cluster 1, H4-IV, germinal H4-like 2 (similar to human histone cluster 1, class H4 genes); histone cluster 2, H4; histone cluster 2, H4a; Histone Cluster 4; histone cluster 4, H4; histone family member; Histone H2B 2; Histone H3; histone H4; histone H4 replacement; histone H4.1; Histone H4A; histone IV, family 2; K06C4.12; K06C4.4; N2749; N2752; OGP; Osteogenic growth peptide; RH52884p; SIN2; T10C6.11; X04652; XELAEV_18001418mg; YBR009C; YBR010W; YBR0122; YBR0201; YNL030W; YNL031C | |
| Rabbit | |
| Protein A | |
| RUO | |
| 121504, 319158, 326619, 326620, 679983, 8294, 8359, 8363, 8366, 8367, 8370, 97122 | |
| Store at 4°C short term. For long term storage, store at -20°C, avoiding freeze/thaw cycles. | |
| Liquid |
Your input is important to us. Please complete this form to provide feedback related to the content on this product.