missing translation for 'onlineSavingsMsg'
Learn More

Invitrogen™ HIP1R Monoclonal Antibody (K1E009_9H2), Invitrogen™

Mouse Monoclonal Antibody

Brand:  Invitrogen™ MA556315

 View more versions of this product

Product Code. 30207989

  • £760.00 / 200µg

Please to purchase this item. Need a web account? Register with us today!

This item is not returnable. View return policy

Description

Description

Sequence of this protein is as follows: DRDLQIESLK REVEMLRSEL EKIKLEAQRY IAQLKSQVNA LEGELEEQRK QKQKALVDNE QLRHELAQLR AAQLEGERSQ GLREEAERKA SATEARYNKL KEKHSELVHV HAELLRKNAD TAKQLTVTQQ SQEEVARVKE QLAFQVEQVK RESELKLEEK SDQLEKLKRE LEAKAGELAR AQEALSHTEQ

Huntingtin disease, a neurodegenerate disease, is caused by the expansion of a polymorphic glutamine tract in huntingtin. The Huntingtin Interacting Protein 1 (HIP-1) is a reportedly proapoptotic, cargo-specific adaptor protein that may be involved in the pathogenesis of Huntingtin disease. As well as playing a role in Huntingtin disease, it is likely to be involved in the recruitment of clathrin coats to lipid membranes and it may also factor in tumorigenesis by allowing the survival of precancerous and cancerous cells. Since HIP-1 expression is significantly associated with prostate and colon cancer metastasis, HIP-1 can serve as a putative prognostic factor for prostate and colon cancers.
TRUSTED_SUSTAINABILITY
Specifications

Specifications

HIP1R
Monoclonal
1 mg/mL
PBS with 50% glycerol, 0.5% BSA and 0.09% sodium azide
O75146
HIP1R
Recombinant human HIP1R (immunogen range is 351-540).
200 μL
Primary
Human
Antibody
IgG1
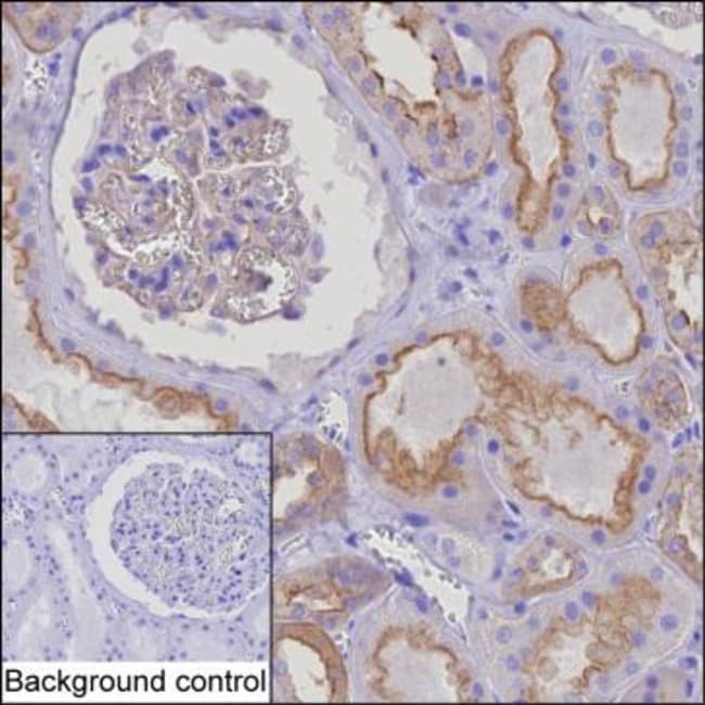
Immunohistochemistry (Paraffin), Immunoprecipitation, Western Blot
K1E009_9H2
Unconjugated
HIP1R
AA410023; HIP12; HIP-12; Hip1r; HIP1-related protein; HIP3; huntingtin interacting protein 1 related; huntingtin interacting protein 12; Huntingtin-interacting protein 12; huntingtin-interacting protein 1-related protein; ILWEQ; KIAA0655; mKIAA0655
Mouse
Protein A
RUO
9026
Store at 4°C short term. For long term storage, store at -20°C, avoiding freeze/thaw cycles.
Liquid
Product Suggestions

Product Suggestions

Videos
SDS
Documents

Documents

Certificates
Promotions

Promotions

Product Content Correction

Your input is important to us. Please complete this form to provide feedback related to the content on this product.

Product Title

By clicking Submit, you acknowledge that you may be contacted by Fisher Scientific in regards to the feedback you have provided in this form. We will not share your information for any other purposes. All contact information provided shall also be maintained in accordance with our Privacy Policy.

Thank You! Your feedback has been submitted. Fisher Scientific is always working to improve our content for you. We appreciate your feedback.