missing translation for 'onlineSavingsMsg'
Learn More

HIF-2 alpha/EPAS1 Antibody (2444A) - Azide and BSA Free, Novus Biologicals™

Rabbit Monoclonal Antibody

Brand:  Novus Biologicals NBP2-80767

Product Code. 18252577

  • £393.00 / 0.10mg

Please to purchase this item. Need a web account? Register with us today!

This item is not returnable. View return policy

Description

Description

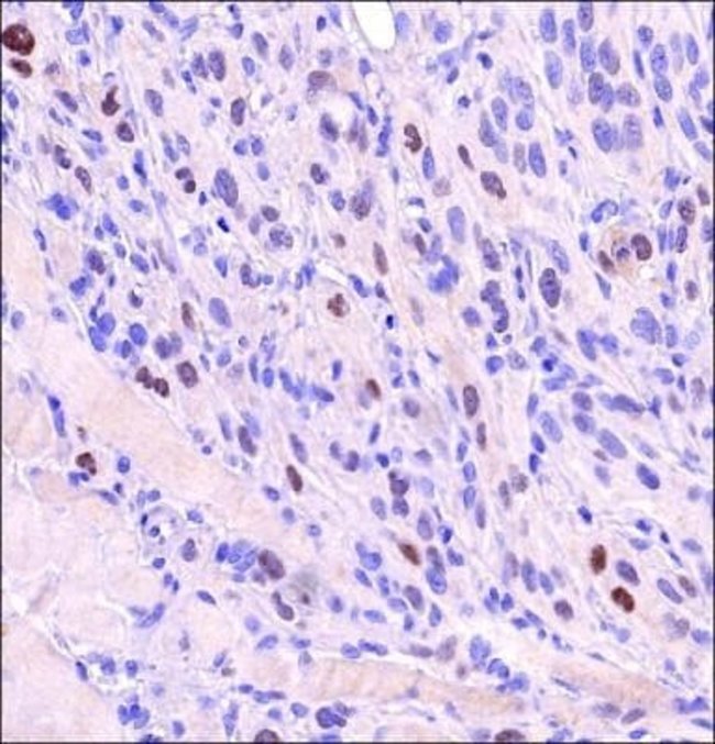
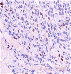
HIF-2 alpha/EPAS1 Monoclonal specifically detects HIF-2 alpha/EPAS1 in Human samples. It is validated for Western Blot, Immunohistochemistry, Immunohistochemistry-Paraffin.
TRUSTED_SUSTAINABILITY
Specifications

Specifications

HIF-2 alpha/EPAS1
Monoclonal
1 mg/mL
Western Blot : 2 μg/mL, Immunohistochemistry, Immunohistochemistry-Paraffin
Basic-helix-loop-helix-PAS protein MOP2, BHLHE73, Class E basic helix-loop-helix protein 73, ECYT4, endothelial PAS domain protein 1, endothelial PAS domain-containing protein 1, EPAS1, EPAS-1, HIF-1-alpha-like factor, HIF-1alpha-like factor, HIF-2 alpha, HIF2A, hif2a angiogenesis, HIF-2-alpha, HIF2-alpha, HLF, hypoxia-inducible factor 2 alpha, Hypoxia-inducible factor 2-alpha, Member of PAS protein 2, MOP2, PAS domain-containing protein 2, PASD2
Rabbit
Protein A or G purified
RUO
Primary
Human
Purified
Western Blot, Immunohistochemistry, Immunohistochemistry (Paraffin)
2444A
Unconjugated
PBS
EPAS1
This recombinant HIF-2 alpha/EPAS1 Antibody (2444A) is made to a partial recombinant human HIF-2 protein (amino acids 543-870) [UniProt Q99814]
0.1 mg
Angiogenesis, Apoptosis, Cancer, Cancer Stem Cells, Chromatin Research, HIF Target Genes, Hypoxia, Lipid and Metabolism, Transcription Factors and Regulators
2034
Store at 4°C short term. Aliquot and store at -20°C long term. Avoid freeze-thaw cycles.
IgG
Product Suggestions

Product Suggestions

Videos
SDS
Documents

Documents

Certificates
Promotions

Promotions

Product Content Correction

Your input is important to us. Please complete this form to provide feedback related to the content on this product.

Product Title

By clicking Submit, you acknowledge that you may be contacted by Fisher Scientific in regards to the feedback you have provided in this form. We will not share your information for any other purposes. All contact information provided shall also be maintained in accordance with our Privacy Policy.

Thank You! Your feedback has been submitted. Fisher Scientific is always working to improve our content for you. We appreciate your feedback.