missing translation for 'onlineSavingsMsg'
Learn More

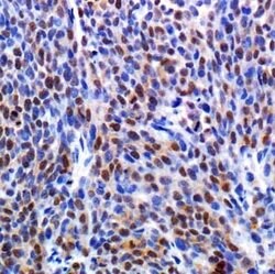
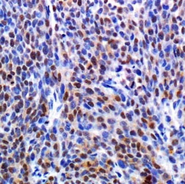
HIF-1 alpha Antibody (HA111) - BSA Free, Novus Biologicals™

Product Code. 18347190 Shop All Bio Techne Products
Change view
Click to view available options
Quantity:
0.1 mL
Unit Size:
0.10mL
1 product options available for selection
Product selection table with 1 available options. Use arrow keys to navigate and Enter or Space to select.
Product Code. Quantity unitSize
18347190 0.1 mL 0.10mL
Use arrow keys to navigate between rows. Press Enter or Space to select a product option. 1 options available.
1 options
This item is not returnable. View return policy
Product Code. 18347190 Supplier Novus Biologicals Supplier No. NBP290222AF405

Please to purchase this item. Need a web account? Register with us today!

This item is not returnable. View return policy

Mouse Monoclonal Antibody

Phosphoserine phosphatase Monoclonal specifically detects Phosphoserine phosphatase in Human samples. It is validated for Western Blot, ELISA, Immunocytochemistry/Immunofluorescence.
TRUSTED_SUSTAINABILITY

Specifications

Antigen HIF-1 alpha
Applications Immunohistochemistry, Immunohistochemistry (Paraffin), Immunoprecipitation, Western Blot
Classification Monoclonal
Clone HA111
Concentration 1.1mg/mL
Conjugate Unconjugated
Gene Accession No. Q16665
Host Species Mouse
Immunogen This antibody was obtained from a rabbit immunized with purified, recombinant Human Phosphoserine phosphatase (P78330; Met1-Glu225)., corresponding to amino acids 329-530. [UniProt No. Q16665].
Quantity 0.1 mL
Regulatory Status RUO
Primary or Secondary Primary
Gene ID (Entrez) 3091
Target Species Human
Form Purified
Isotype IgG2a
Show More Show Less

For Research Use Only

Product Title
Select an issue

By clicking Submit, you acknowledge that you may be contacted by Fisher Scientific in regards to the feedback you have provided in this form. We will not share your information for any other purposes. All contact information provided shall also be maintained in accordance with our Privacy Policy.