missing translation for 'onlineSavingsMsg'
Learn More
Learn More
Invitrogen™ HDGFRP3 Polyclonal Antibody

Rabbit Polyclonal Antibody
Brand: Invitrogen™ PA5117150
This item is not returnable.
View return policy
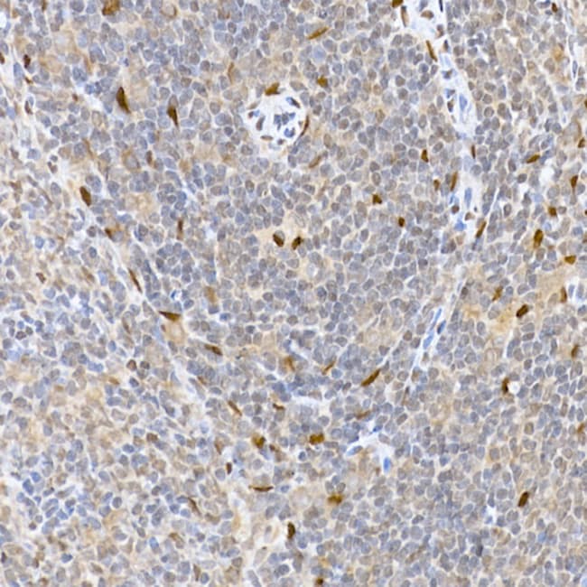
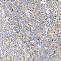
Description
Positive Samples: Mouse brain, Mouse kidney, Mouse lung, Rat brain Immunogen sequence: NNPGVKFTGY QAIQQQSSSE TEGEGGNTAD ASSEEEGDRV EEDGKGKRKN EKAGSKRKKS YTSKKSSKQS RKSPGDEDDK DCKEEENKSS SEGGDAGNDT RNTTSDLQKT SEGT.
HDGFRP3 enhances DNA synthesis and may play a role in cell proliferation.
Specifications
| HDGFRP3 | |
| Polyclonal | |
| Unconjugated | |
| HDGFL3 | |
| 2700022B06Rik; CGI-142; HDGF like 3; HDGF2; HDGF-2; HDGFL3; HDGFRP3; Hepatoma-derived growth factor 2; hepatoma-derived growth factor, related protein 3; hepatoma-derived growth factor-related protein 3; Hrp3; HRP-3 | |
| Rabbit | |
| Affinity chromatography | |
| RUO | |
| 252941, 29877, 50810 | |
| -20°C, Avoid Freeze/Thaw Cycles | |
| Liquid |
| ELISA, Immunohistochemistry (Paraffin), Western Blot | |
| 0.75 mg/mL | |
| PBS with 50% glycerol and 0.02% sodium azide; pH 7.3 | |
| Q923W4, Q9JMG7, Q9Y3E1 | |
| HDGFL3 | |
| Recombinant fusion protein containing a sequence corresponding to amino acids 90-203 of human HDGFRP3 (NP_0571571). | |
| 100 μL | |
| Primary | |
| Human, Mouse, Rat | |
| Antibody | |
| IgG |
Product Content Correction
Your input is important to us. Please complete this form to provide feedback related to the content on this product.
Product Title
Spot an opportunity for improvement?Share a Content Correction