missing translation for 'onlineSavingsMsg'
Learn More

HDGF Antibody, Novus Biologicals™

Rabbit Polyclonal Antibody

Brand:  Novus Biologicals NBP1-71924

Product Code. 18242053

  • £448.00 / 100µL

Please to purchase this item. Need a web account? Register with us today!

This item is not returnable. View return policy

Description

Description

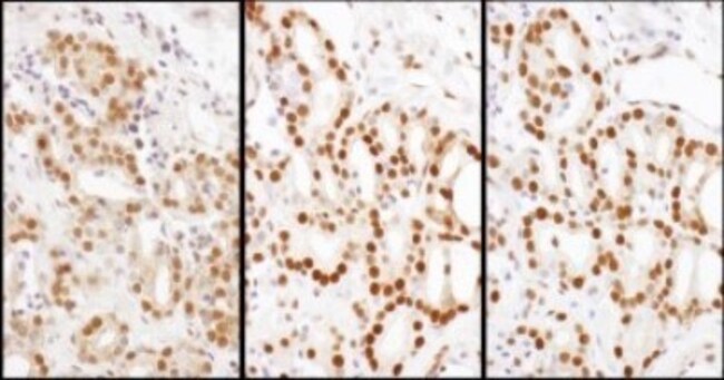
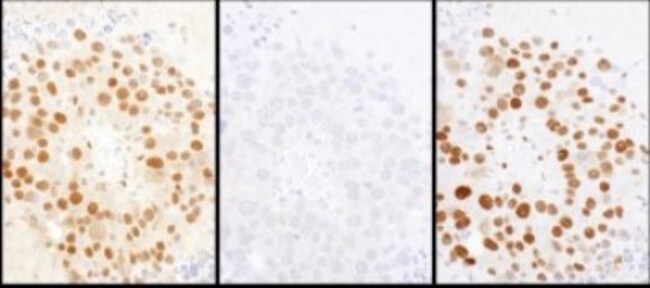
HDGF Polyclonal specifically detects HDGF in Human, Mouse samples. It is validated for Immunohistochemistry, Immunoprecipitation, Immunohistochemistry-Paraffin, Western Blot (Negative).
TRUSTED_SUSTAINABILITY
Specifications

Specifications

HDGF
Polyclonal
Unconjugated
Tris-Citrate/Phosphate (pH 7.0 - 8.0) with 0.09% Sodium Azide
FLJ96580, hepatoma-derived growth factor, hepatoma-derived growth factor (high-mobility group protein 1-like), High mobility group protein 1-like 2, HMG-1L2, HMG1L2DKFZp686J1764
Rabbit
Affinity Purified
RUO
3068
Store at 4C. Do not freeze.
Immunohistochemistry, Immunoprecipitation, Immunohistochemistry (Paraffin), Western Blot
1.0 mg/mL
Immunohistochemistry 1:1000-1:5000, Immunoprecipitation 2-10 mcg/mg, Immunohistochemistry-Paraffin 1:1000-1:5000, Western Blot (Negative)
NP_004485.1
HDGF
The immunogen for this product maps to a region between residue 100 and 150 of human Hepatoma-Derived Growth Factor using the numbering given in entry NP_004485.1 (GeneID 3068).
100 μL
Primary
Human, Mouse
IgG
Product Suggestions

Product Suggestions

Videos
SDS
Documents

Documents

Certificates
Promotions

Promotions

Product Content Correction

Your input is important to us. Please complete this form to provide feedback related to the content on this product.

Product Title

By clicking Submit, you acknowledge that you may be contacted by Fisher Scientific in regards to the feedback you have provided in this form. We will not share your information for any other purposes. All contact information provided shall also be maintained in accordance with our Privacy Policy.

Thank You! Your feedback has been submitted. Fisher Scientific is always working to improve our content for you. We appreciate your feedback.

For Research Use Only