missing translation for 'onlineSavingsMsg'
Learn More
Learn More
Invitrogen™ HDAC9 Polyclonal Antibody

Rabbit Polyclonal Antibody
Brand: Invitrogen™ PA590264
This item is not returnable.
View return policy
Description
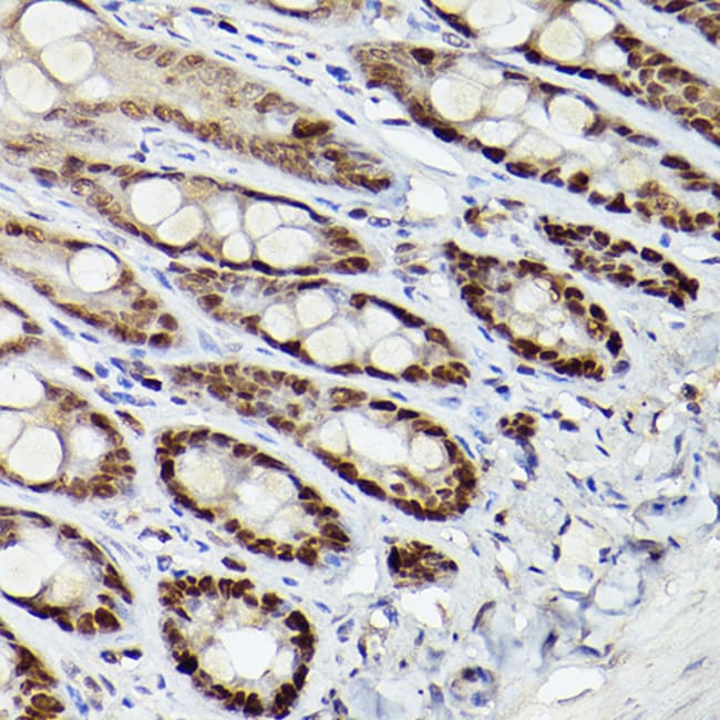
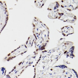
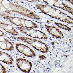
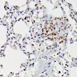
Positive Samples: HeLa, K562; Cellular Location: Nucleus Immunogen sequence: MHSMISSVDV KSEVPVGLEP ISPLDLRTDL RMMMPVVDPV VREKQLQQEL LLIQQQQQIQ KQLLIAEFQK QHENLTRQHQ AQLQEHIKEL LAIKQQQELL.
In the intact cell, DNA closely associates with histones and other nuclear proteins to form chromatin. The remodeling of chromatin is a critical component of transcriptional regulation and the acetylation of nucleosomal histones is a major source of this remodeling. Acetylation of lysine residues in the amino terminal tail domain of histone results in an allosteric change in the nucleosomal conformation and an increased accessibility to transcription factors by DNA. Several mammalian proteins function as nuclear histone acetylases, including GCN5, PCAF (p300/CBP-associated factor), p300/CBP, HAT1 and the TFIID subunit TAF II p250. Conversely, the deacetylation of histones is associated with transcriptional silencing. The histone deacetylases (HDAC) include HDAC1-9. HDAC9 and HDAC9a are two alternatively spliced isoforms of HDAC9. HDAC9a is 132 amino acids shorter than HDAC9, but both isoforms contain the HDAC catalytic domain, remain capable of deacetylase activity and repress myoctye enhancer-binding factor 2-mediated transcription. HDAC9 and HDAC9a are expressed in brain, skeletal muscle, kidney, placenta and pancreas.
Specifications
| HDAC9 | |
| Polyclonal | |
| Unconjugated | |
| Hdac9 | |
| AV022454; D030072B18Rik; DKFZp779K1053; HD7; HD7b; HD9; HDAC; HDAC7; Hdac7b; HDAC9; hdac-9; HDAC9B; HDAC9FL; HDRP; histone deacetylase 4/5-related protein; histone deacetylase 7B; Histone deacetylase 9; histone deacetylase-related protein; KIAA0744; MEF-2 interacting transcription repressor (MITR) protein; MEF2-interacting transcription repressor MITR; Mitr; mKIAA0744; RGD1310748; RGD1563092; TWIST | |
| Rabbit | |
| Affinity Chromatography | |
| RUO | |
| 687001, 79221, 9734 | |
| -20°C, Avoid Freeze/Thaw Cycles | |
| Liquid |
| ELISA, Immunohistochemistry (Paraffin), Western Blot | |
| 1.1 mg/mL | |
| PBS with 50% glycerol and 0.02% sodium azide; pH 7.3 | |
| Q99N13, Q9UKV0 | |
| Hdac9 | |
| A synthetic peptide corresponding to a sequence within amino acids 1-100 of human HDAC9 (NP_4780561). | |
| 100 μL | |
| Primary | |
| Human, Mouse, Rat | |
| Antibody | |
| IgG |
Product Content Correction
Your input is important to us. Please complete this form to provide feedback related to the content on this product.
Product Title
Spot an opportunity for improvement?Share a Content Correction