missing translation for 'onlineSavingsMsg'
Learn More
Learn More
Invitrogen™ H3K9me2 Polyclonal Antibody

Rabbit Polyclonal Antibody
Brand: Invitrogen™ PA5120810
This item is not returnable.
View return policy
Description
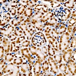
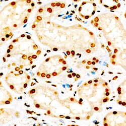
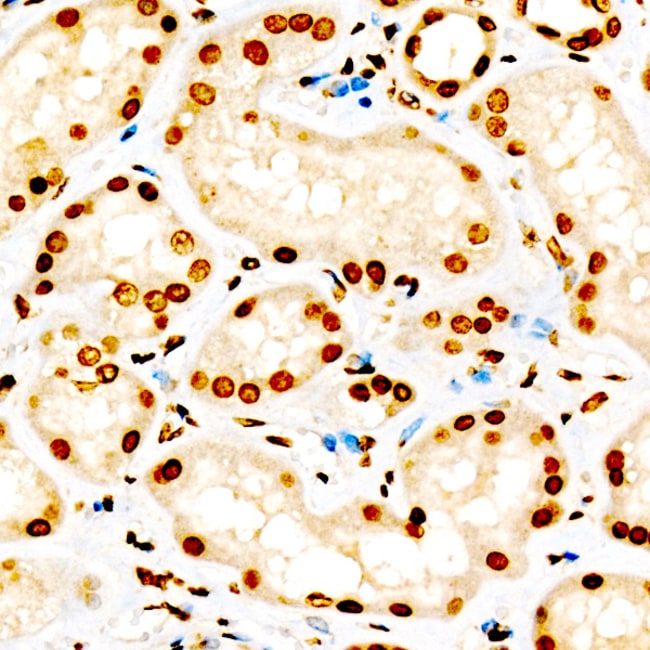
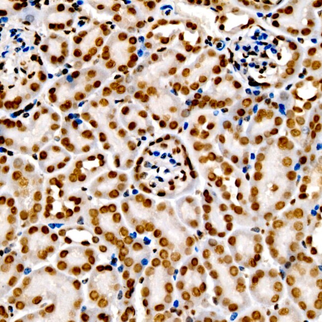
Positive test controls include: HeLa, NIH/3T3, C6. The target is usually found in the following locations: Chromosome, Nucleus. Immunogen sequence: ARTKQTARKS TGGKAPRK.
Histone H3 is one of the DNA-binding proteins found in the chromatin of all eukaryotic cells. H3 along with four core histone proteins binds to DNA forming the structure of the nucleosome. Histones play a central role in transcription regulation, DNA repair, DNA replication and chromosomal stability. Post translationally, histones are modified in a variety of ways to either directly change the chromatin structure or allow for the binding of specific transcription factors. The N-terminal tail of histone H3 protrudes from the globular nucleosome core and can undergo several different types of post-translational modification that influence cellular processes. These modifications include the covalent attachment of methyl or acetyl groups to lysine and arginine amino acids and the phosphorylation of serine or threonine.
Specifications
| H3K9me2 | |
| Polyclonal | |
| Unconjugated | |
| H3C15 | |
| CG31613; CG31613-PA; CG33803; CG33806; CG33809; CG33812; CG33815; CG33818; CG33821; CG33824; CG33827; CG33830; CG33833; CG33836; CG33839; CG33842; CG33845; CG33848; CG33851; CG33854; CG33857; CG33860; CG33863; CG33866; Di histone H3/c; dimethyl H3; di-methyl H3; Dimethyl Histone H3; di-methyl histone H3; Di-Methyl-H3 K9; Di-Methyl-H3 Lys9; Di-Methyl-Histone H3 K9; Di-Methyl-Histone H3 Lys9; Dmel\CG31613; Dmel_CG31613; h3; H3 histone; H3 histone family, member A; H3 histone family, member I; H3 histone family, member K; H3 histone family, member L; H3 histone family, member M; H3 histone, family 2; H3 histone, family 3A; H3 histone, family 3B; H3 histone, family 3B (H3.3B); H3 histone, family 3C; H3 K9me2; H3.1-221; H3.1-291; H3.1-I; H3.2; H3.2-221; H3.2-614; H3.2-615; H3.2-616; h3.2a; H3.3A; H3.3B; H3.5; H3/A; H3/b; H3/d; H3/f; H3/i; H3/j; H3/k; H3/l; H3/M; H3/n; H3/o; H3-143; H3-291; H3-3A; H3-3b; H3-53; H3-614; H3a; H3b; H3-B; H3c1; H3C10; H3C11; H3C12; H3C2; H3C3; H3C4; H3C6; H3C7; H3C8; H3f; H3-F; H3F1K; H3F2; H3F3; H3F3A; H3f3b; H3F3C; H3FA; H3FB; H3FC HIST1H3C; H3FD; H3FF; H3FH; H3FI; H3FJ; H3FK; H3FL; H3FM; H3FN; H3g; H3h; H3i; H3K9; H3Lys9me2; h3r; His3; His3:CG31613; His3:CG31613-PA; His3:CG33803; His3:CG33806; His3:CG33809; His3:CG33812; His3:CG33815; His3:CG33818; His3:CG33821; His3:CG33824; His3:CG33827; His3:CG33830; His3:CG33833; His3:CG33836; His3:CG33839; His3:CG33842; His3:CG33845; His3:CG33848; His3:CG33851; His3:CG33854; His3:CG33857; His3:CG33860; His3:CG33863; His3:CG33866; Hist1; HIST1H3A; HIST1H3B; Hist1h3c; Hist1h3d; HIST1H3E; Hist1h3f; Hist1h3g; hist1h3g.L; Hist1h3h; HIST1H3I; HIST1H3J; hist2h3; HIST2H3A; Hist2h3b; HIST2H3C; Hist2h3c1; Hist2h3c2; Hist2h3c2-ps; Hist2h3ca1; Hist2h3ca2; HIST2H3D; histone 1, H3a; histone 1, H3b; histone 1, H3f; histone 1, H3h; histone 2, H3a; histone 2, H3c; histone 2, H3c2; histone 2, H3ca2; Histone 3; histone cluster 1, H3a; histone cluster 1, H3b; histone cluster 1, H3f; histone cluster 1, H3g protein L homeolog; histone cluster 1, H3h; histone cluster 2, H3a; histone cluster 2, H3c; histone cluster 2, H3c2; histone cluster 2, H3c2, pseudogene; histone gene complex 1; histone H3; Histone H3.1; histone H3.2; Histone H3.3; histone H3.3C; Histone H3.5; histone H3/a; Histone H3/b; Histone H3/c; Histone H3/d; Histone H3/f; Histone H3/h; Histone H3/i; Histone H3/j; Histone H3/k; histone H3/l; Histone H3/m; histone H3/o; Histone H3K9; Histone H3K9me2; histone variant H3.5; M32461; methyl Histone 3; methyl Histone H3; PP781; XELAEV_18028537mg | |
| Rabbit | |
| Affinity Chromatography | |
| RUO | |
| 126961, 260423, 291159, 310678, 319150, 319152, 333932, 360198, 679994, 8350, 8356, 8357, 8358, 8968, 97114 | |
| -20°C, Avoid Freeze/Thaw Cycles | |
| Liquid |
| ChIP Assay, ChIP sequencing (ChIP-seq), Dot Blot, ELISA, Immunohistochemistry (Paraffin), Western Blot, Immunocytochemistry | |
| 1.41 mg/mL | |
| PBS with 50% glycerol and 0.09% sodium azide; pH 7.3 | |
| P68431, P68433, P84228, Q71DI3 | |
| H3C1, H3C10, H3C12, H3C14, H3C15, H3C2, H3C7 | |
| A synthetic peptide corresponding to a sequence within amino acids 1-100 of human histone H3 (NP_0035201). | |
| 100 μL | |
| Primary | |
| Human, Mouse, Rat | |
| Antibody | |
| IgG |
Product Content Correction
Your input is important to us. Please complete this form to provide feedback related to the content on this product.
Product Title
Spot an opportunity for improvement?Share a Content Correction