missing translation for 'onlineSavingsMsg'
Learn More
Learn More
Invitrogen™ GYPB Polyclonal Antibody

Rabbit Polyclonal Antibody
Brand: Invitrogen™ PA571844
This item is not returnable.
View return policy
Description
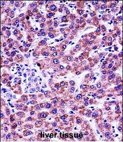
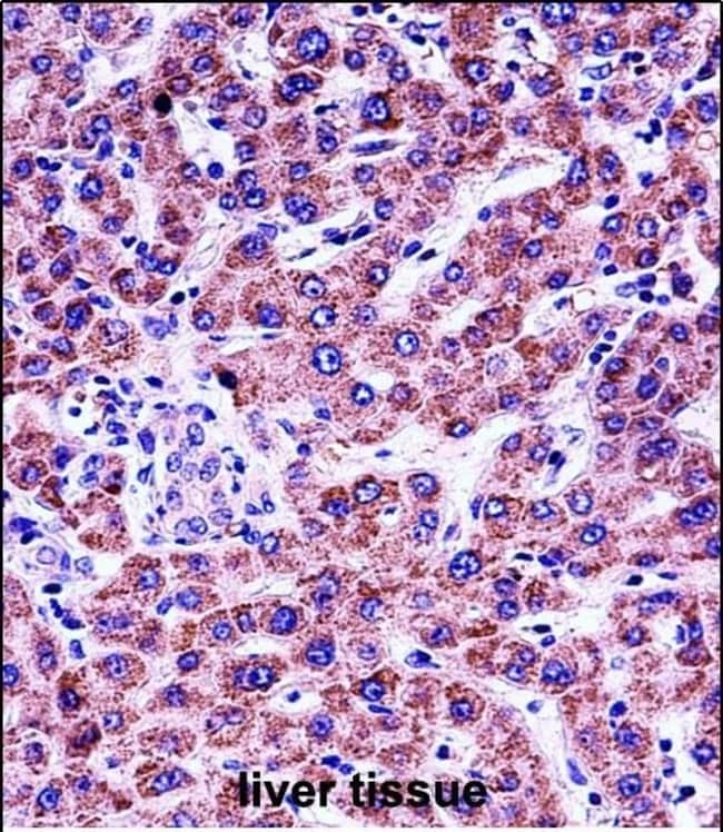
GYPB Polyclonal Antibody for Western Blot, IHC (P)
This protein is a minor sialoglycoprotein in erythrocyte membranes.
Specifications
| GYPB | |
| Polyclonal | |
| Unconjugated | |
| GYPB | |
| CD235b; glycophorin B (MNS blood group); glycophorin B/glycophorin A fusion protein; glycophorin Hop; glycophorin-B; GPB; GYP; GYPB; GYPB/GYPA fusion; hybrid glycophorin Kip; MNS; PAS-3; Sialoglycoprotein delta; SS; Ss blood group; SS-active sialoglycoprotein | |
| Rabbit | |
| Antigen affinity chromatography, Protein A | |
| RUO | |
| 2994 | |
| Store at 4°C short term. For long term storage, store at -20°C, avoiding freeze/thaw cycles. | |
| Liquid |
| Immunohistochemistry (Paraffin), Western Blot | |
| 0.5 mg/mL | |
| PBS with 0.09% sodium azide; pH 7.4 | |
| P06028 | |
| GYPB | |
| KLH conjugated synthetic peptide between 22-51 amino acids from the Central region of human GYPB. | |
| 400 μL | |
| Primary | |
| Human | |
| Antibody | |
| IgG |
Product Content Correction
Your input is important to us. Please complete this form to provide feedback related to the content on this product.
Product Title
Spot an opportunity for improvement?Share a Content Correction