missing translation for 'onlineSavingsMsg'
Learn More
Learn More
Description
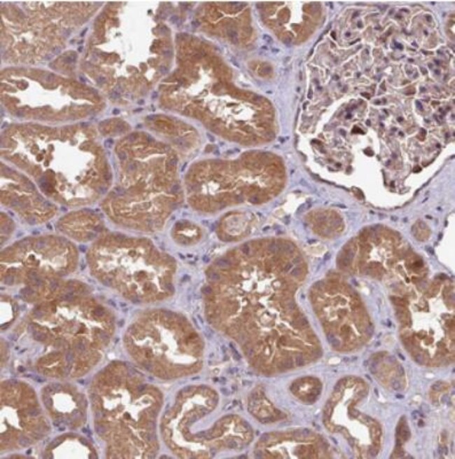
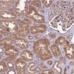
GSKIP Polyclonal specifically detects GSKIP in Human samples. It is validated for Immunohistochemistry, Immunohistochemistry-Paraffin.
Specifications
Specifications
| Antigen | GSKIP |
| Applications | Immunohistochemistry, Immunohistochemistry (Paraffin) |
| Classification | Polyclonal |
| Conjugate | Unconjugated |
| Dilution | Immunohistochemistry, Immunohistochemistry-Paraffin 1:500 - 1:1000 |
| Formulation | PBS (pH 7.2) and 40% Glycerol with 0.02% Sodium Azide |
| Gene Accession No. | Q9P0R6 |
| Gene Alias | chromosome 14 open reading frame 129, GSK3beta interaction protein, GSK3-beta interaction protein, GSKIP, MGC4945 |
| Gene Symbols | GSKIP |
| Host Species | Rabbit |
| Show More |
For Research Use Only
Product Title
By clicking Submit, you acknowledge that you may be contacted by Fisher Scientific in regards to the feedback you have provided in this form. We will not share your information for any other purposes. All contact information provided shall also be maintained in accordance with our Privacy Policy.
Spot an opportunity for improvement?