missing translation for 'onlineSavingsMsg'
Learn More

GRB2 Rabbit anti-Human, Mouse, Rat, Clone: 9K6H0, Novus Biologicals™

Product Code. 18396692 Shop All Bio Techne Products
Change view
Click to view available options
Quantity:
100 μg
20 μg
Unit Size:
100µL
20µL
2 product options available for selection
Product selection table with 2 available options. Use arrow keys to navigate and Enter or Space to select.
Product Code. Quantity unitSize
18396692 100 μg 100µL
18374322 20 μg 20µL
Use arrow keys to navigate between rows. Press Enter or Space to select a product option. 2 options available.
2 options
This item is not returnable. View return policy
Product Code. 18396692 Supplier Novus Biologicals Supplier No. NBP315638100UL

Please to purchase this item. Need a web account? Register with us today!

This item is not returnable. View return policy

Rabbit Monoclonal Antibody

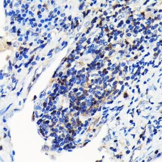
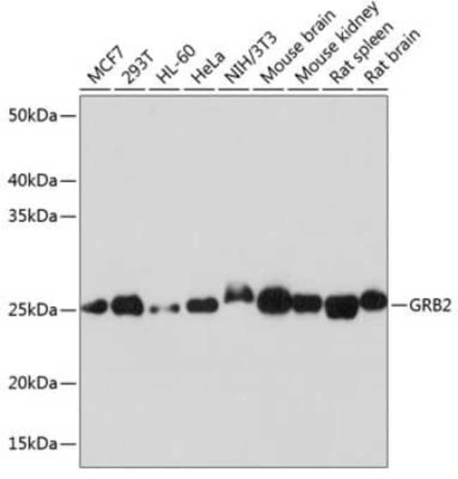
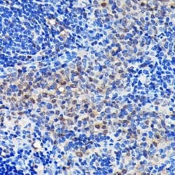
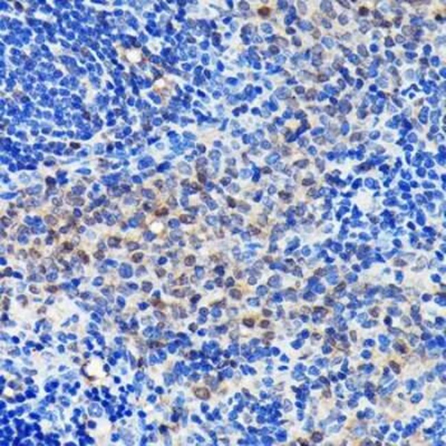
GRB2 Monoclonal antibody specifically detects GRB2 in Human, Mouse, Rat samples. It is validated for Western Blot, Immunohistochemistry, Immunofluorescence, Immunoprecipitation, Immunohistochemistry (Paraffin)
TRUSTED_SUSTAINABILITY

Specifications

Antigen GRB2
Applications Western Blot, Immunohistochemistry, Immunofluorescence, Immunoprecipitation, Immunohistochemistry (Paraffin)
Classification Monoclonal
Clone 9K6H0
Conjugate Unconjugated
Dilution Western Blot 1:500 - 1:2000, Immunohistochemistry 1:50 - 1:200, Immunocytochemistry/Immunofluorescence 1:50 - 1:200, Immunoprecipitation 1:50 - 1:200, Immunohistochemistry-Paraffin
Formulation PBS, 0.05% BSA, 50% glycerol, pH7.3
Gene Alias abundant SRC homology, Adapter protein GRB2, ASH, EGFRBP-GRB2, epidermal growth factor receptor-binding protein GRB2, Grb3-3, growth factor receptor-bound protein 2, growth factor receptor-bound protein 3, HT027, MST084, MSTP084, NCKAP2, Protein Ash, SH2/SH3 adapter GRB2
Host Species Rabbit
Immunogen A synthetic peptide corresponding to a sequence within amino acids 118-217 of human GRB2 (P62993). YFLWVVKFNSLNELVDYHRSTSVSRNQQIFLRDIEQVPQQPTYVQALFDFDPQEDGELGFRRGDFIHVMDNSDPNWWKGACHGQTGMFPRNYVTPVNRNV
Purification Method Affinity purified
Quantity 100 μg
Regulatory Status RUO
Research Discipline Angiogenesis, Breast Cancer, Cancer, Extracellular Matrix, Signal Transduction
Primary or Secondary Primary
Gene ID (Entrez) 2885
Target Species Human, Mouse, Rat
Content And Storage Store at -20°C. Avoid freeze-thaw cycles.
Form Purified
Isotype IgG
Show More Show Less
Product Title
Select an issue

By clicking Submit, you acknowledge that you may be contacted by Fisher Scientific in regards to the feedback you have provided in this form. We will not share your information for any other purposes. All contact information provided shall also be maintained in accordance with our Privacy Policy.