missing translation for 'onlineSavingsMsg'
Learn More
Learn More
Invitrogen™ Grancalcin Polyclonal Antibody

Rabbit Polyclonal Antibody
Brand: Invitrogen™ PA557125
This item is not returnable.
View return policy
Description
Immunogen sequence: ALNAWKENFM TVDQDGSGTV EHHELRQAIG LMGYRLSPQT LTTIVKRYSK NGRIFFDDY Highest antigen sequence identity to the following orthologs: Mouse - 86%, Rat - 85%.
This gene product, grancalcin, is a calcium-binding protein abundant in neutrophils and macrophages. It belongs to the penta-EF-hand subfamily of proteins which includes sorcin, calpain, and ALG-2. Grancalcin localization is dependent upon calcium and magnesium. In the absence of divalent cation, grancalcin localizes to the cytosolic fraction; with magnesium alone, it partitions with the granule fraction; and in the presence of magnesium and calcium, it associates with both the granule and membrane fractions, suggesting a role for grancalcin in granule-membrane fusion and degranulation.
Specifications
| Grancalcin | |
| Polyclonal | |
| Unconjugated | |
| Gca | |
| 5133401E04Rik; AI573844; Gca; GCL; grancalcin; grancalcin, EF-hand calcium binding protein; grancalcin, EF-hand calcium-binding protein; grancalcin, penta-EF-hand protein; null | |
| Rabbit | |
| Antigen affinity chromatography | |
| RUO | |
| 25801 | |
| Store at 4°C short term. For long term storage, store at -20°C, avoiding freeze/thaw cycles. | |
| Liquid |
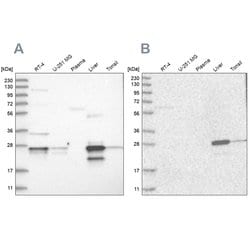
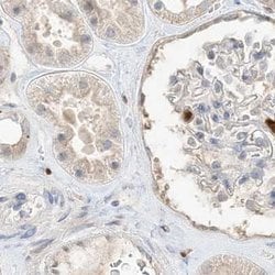
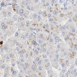
| Immunohistochemistry (Paraffin), Western Blot, Immunocytochemistry | |
| 0.3 mg/mL | |
| PBS with 40% glycerol and 0.02% sodium azide; pH 7.2 | |
| P28676 | |
| Gca | |
| Recombinant protein corresponding to Human Grancalcin. Recombinant protein control fragment (Product #RP-96011). | |
| 100 μL | |
| Primary | |
| Human | |
| Antibody | |
| IgG |
Product Content Correction
Your input is important to us. Please complete this form to provide feedback related to the content on this product.
Product Title
Spot an opportunity for improvement?Share a Content Correction