missing translation for 'onlineSavingsMsg'
Learn More
Learn More
Invitrogen™ GRAF Polyclonal Antibody

Rabbit Polyclonal Antibody
Brand: Invitrogen™ PA583259
This item is not returnable.
View return policy
Description
Immunogen sequence: RSSLHAVFSL LVNFVPCHPN LHLLFDRPEE AVHEDSSTPF RKAKALYACK AEHDSELSFT AGTVFDNVHP SQEPGWLE Highest antigen sequence indentity to the following orthologs: Rat - 56%, Mouse - 96%.
Interaction of a cell with the extracellular matrix triggers integrin cell surface receptors to begin signaling cascades that regulate the organization of the actin-cytoskeleton. One of the proteins involved in these cascades is focal adhesion kinase. The protein encoded by this gene is a GTPase activating protein that binds to focal adhesion kinase and mediates the activity of the GTP binding proteins RhoA and Cdc42. Defects in this gene are a cause of juvenile myelomonocytic leukemia (JMML). Multiple transcript variants encoding different isoforms have been found for this gene.
Specifications
| GRAF | |
| Polyclonal | |
| Unconjugated | |
| ARHGAP26 | |
| 1810044B20Rik; 2610010G17Rik; 4933432P15Rik; AI853435; Arhgap26; FLJ42530; GRAF; GRAF1; GTPase regulator associated with focal adhesion kinase; GTPase regulator associated with focal adhesion kinase pp125(FAK); Kiaa0621; mKIAA0621; oligophrenin-1-like protein; OPHN1L; OPHN1L1; Rho GTPase activating protein 26; rho GTPase-activating protein 26; Rho-type GTPase-activating protein 26 | |
| Rabbit | |
| Antigen affinity chromatography | |
| RUO | |
| 23092 | |
| Store at 4°C short term. For long term storage, store at -20°C, avoiding freeze/thaw cycles. | |
| Liquid |
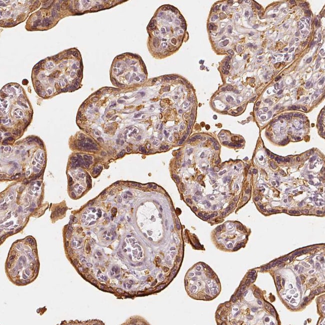
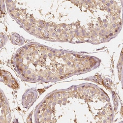
| Immunohistochemistry (Paraffin), Western Blot, Immunocytochemistry | |
| 0.4 mg/mL | |
| PBS with 40% glycerol and 0.02% sodium azide; pH 7.2 | |
| Q9UNA1 | |
| ARHGAP26 | |
| Recombinant protein corresponding to Human ARHGAP26. Recombinant protein control fragment (Product #RP-102650). | |
| 100 μL | |
| Primary | |
| Human | |
| Antibody | |
| IgG |
Product Content Correction
Your input is important to us. Please complete this form to provide feedback related to the content on this product.
Product Title
Spot an opportunity for improvement?Share a Content Correction