missing translation for 'onlineSavingsMsg'
Learn More
Learn More
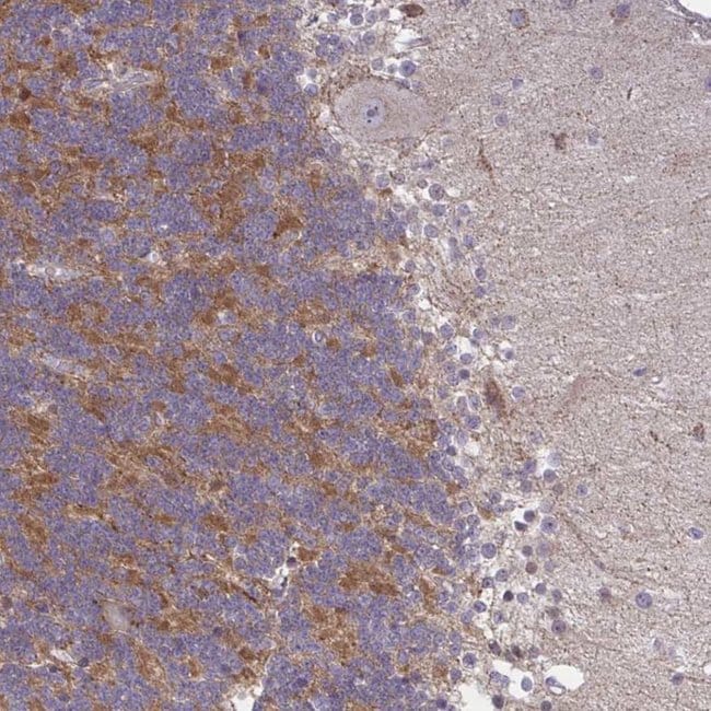
Invitrogen™ GPRIN3 Polyclonal Antibody

Rabbit Polyclonal Antibody
Brand: Invitrogen™ PA563655
This item is not returnable.
View return policy
Description
Immunogen sequence: SQAETSYGLG KFETRPSEFA EKTTNGHKTD PDCKLSDSCG SISKADHSGS LDPTNKGDAR EKKPASPQVV KEKESTGTDT SDAK Highest antigen sequence identity to the following orthologs: Mouse - 45%, Rat - 52%.
May be involved in neurite outgrowth.
Specifications
| GPRIN3 | |
| Polyclonal | |
| Unconjugated | |
| Gprin3 | |
| C030038J10Rik; C730021L23; FLJ42625; G protein-regulated inducer of neurite outgrowth 3; GPRIN family member 3; Gprin3; GRIN3; KIAA2027; RGD1565690 | |
| Rabbit | |
| Antigen Affinity Chromatography | |
| RUO | |
| 285513 | |
| Store at 4°C short term. For long term storage, store at -20°C, avoiding freeze/thaw cycles. | |
| Liquid |
| Immunohistochemistry (Paraffin) | |
| 0.2 mg/mL | |
| PBS with 40% glycerol and 0.02% sodium azide; pH 7.2 | |
| Q6ZVF9 | |
| Gprin3 | |
| Recombinant protein corresponding to Human GPRIN3. Recombinant protein control fragment (Product #RP-100267). | |
| 100 μL | |
| Primary | |
| Human | |
| Antibody | |
| IgG |
Product Content Correction
Your input is important to us. Please complete this form to provide feedback related to the content on this product.
Product Title
Spot an opportunity for improvement?Share a Content Correction