missing translation for 'onlineSavingsMsg'
Learn More

Invitrogen™ GPR56 Recombinant Rabbit Monoclonal Antibody (PSH05-43)

Rabbit Recombinant Monoclonal Antibody

Brand:  Invitrogen™ MA556510

Product Code. 30276288

  • £434.00 / 100µL

Please to purchase this item. Need a web account? Register with us today!

This item is not returnable. View return policy

Description

Description

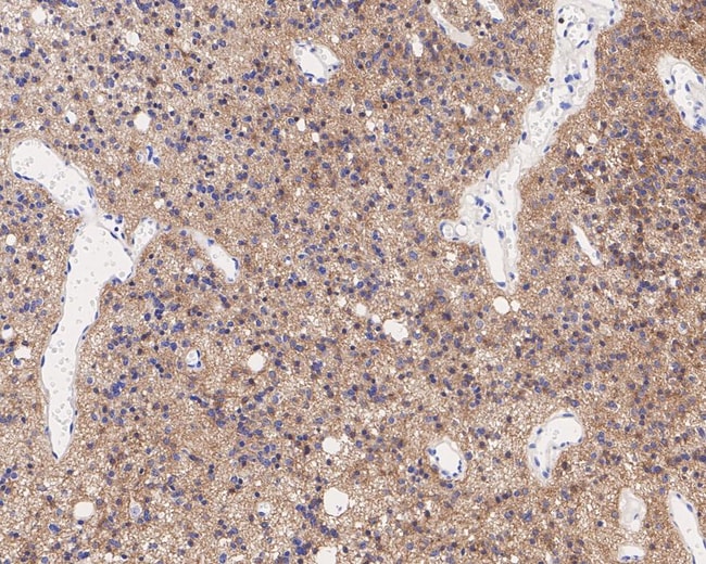
GPR56 Recombinant Monoclonal Antibody for Western Blot, IHC (P)

GPR56 is a member of the G protein-coupled receptor family. The protein contains 7 transmembrane domains and a mucin-like domain in the N-terminal region. The gene is implicated in the regulation of brain cortical patterning. The protein binds specifically to transglutaminase 2 in the extracellular space. Expression of this gene is downregulated in melanoma cell lines, and overexpression of this gene can suppress tumor growth and metastasis. Mutations in this gene result in bilateral frontoparietal polymicrogyria. Multiple transcript variants encoding different isoforms have been found for this gene.
TRUSTED_SUSTAINABILITY
Specifications

Specifications

GPR56
Recombinant Monoclonal
1 mg/mL
PBS with 0.1% BSA, 40% glycerol and 0.05% sodium azide; pH 7.4
Q9Y653
ADGRG1
Recombinant protein within Human GPR56 aa 26-402.
100 μL
Primary
Human
Antibody
IgG
Immunohistochemistry (Paraffin), Western Blot
PSH05-43
Unconjugated
ADGRG1
7-transmembrane protein with no EGF-like N-terminal domains-1; Adgrg1; ADGRG1 CT; ADGRG1 C-terminal fragment; ADGRG1 NT; ADGRG1 N-terminal fragment; ADGRG1-CT; adhesion G protein-coupled receptor G1; adhesion G-protein coupled receptor G1; BFPP; BPPR; Cyt28; DKFZp781L1398; G protein-coupled receptor 56; Gpr56; GPR56 7TM; GPR56 CT; GPR56 C-terminal fragment; GPR56 extracellular subunit; GPR56 NT; GPR56 N-terminal fragment; GPR56 seven-transmembrane subunit; GPR56 subunit alpha; GPR56 subunit beta; G-protein coupled receptor 56; Protein TM7XN1; secretin receptor; serpentine receptor cyt28; testicular tissue protein Li 77; TM7LN4; TM7XN1; UNQ540/PRO1083
Rabbit
Protein A
RUO
9289
Store at 4°C short term. For long term storage, store at -20°C, avoiding freeze/thaw cycles.
Liquid
Product Suggestions

Product Suggestions

Videos
SDS
Documents

Documents

Certificates
Promotions

Promotions

Product Content Correction

Your input is important to us. Please complete this form to provide feedback related to the content on this product.

Product Title

By clicking Submit, you acknowledge that you may be contacted by Fisher Scientific in regards to the feedback you have provided in this form. We will not share your information for any other purposes. All contact information provided shall also be maintained in accordance with our Privacy Policy.

Thank You! Your feedback has been submitted. Fisher Scientific is always working to improve our content for you. We appreciate your feedback.