missing translation for 'onlineSavingsMsg'
Learn More

GPR19 Rabbit anti-Human, Mouse, Polyclonal, Proteintech

Rabbit Polyclonal Antibody

£135.00 - £349.00

Specifications

Antigen GPR19
Concentration 0.33 mg/mL
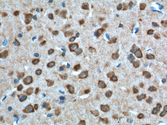
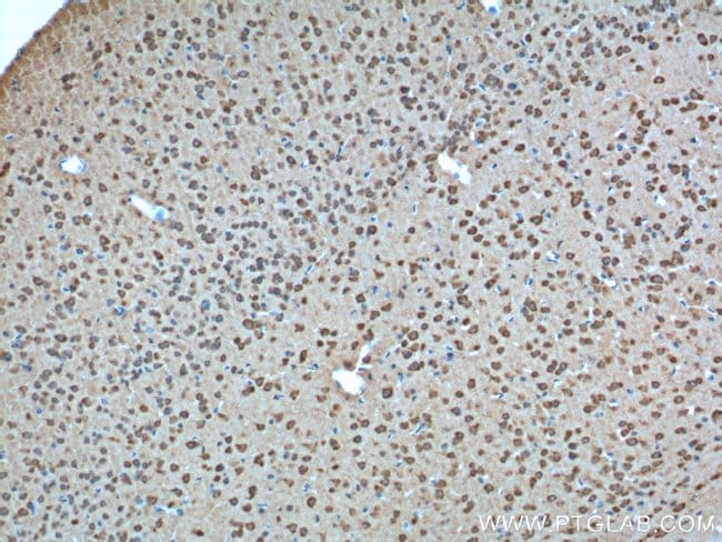
Applications Immunohistochemistry (Paraffin)
Classification Polyclonal
Conjugate Unconjugated
View More Specs

Products 2
Product Code Brand Quantity Price Quantity & Availability  
Product Code Brand Quantity Price Quantity & Availability  
16802955
View Documents
Proteintech
24481-1-AP-20UL
20 μL
£135.00
20µL
View alternative products
Save Up to 
»
Please to purchase this item. Need a web account? Register with us today!
16892945
View Documents
Proteintech
24481-1-AP-150UL
150 μL
£349.00
150µL
View alternative products
Save Up to 
»
Please to purchase this item. Need a web account? Register with us today!
Description

Description

The G-protein-coupled receptor (GPCR) superfamily is comprised of an estimated 600-1, 000 members and is the largest known class of molecular targets with proven therapeutic value. GPR19 is an orphan receptor found primarily in the central nervous system. GPR19 was also found in ovary and testis and in human embryonic stem cells. GPR19 has been postulated to play a role in cancer development and increased levels of GPR19 mRNA were found in metastatic melanoma, small cell lung carcinoma and pancreas islet cell carcinoma.
Specifications

Specifications

GPR19
Immunohistochemistry (Paraffin)
Unconjugated
Rabbit
Mouse, Human
Q15760, Q61121
14760, 2842
GPR19 Fusion Protein Ag21619
Primary
-20°C
GPR19
0.33 mg/mL
Polyclonal
Liquid
RUO
PBS with 50% glycerol and 0.1% sodium azide; pH 7.3
G protein coupled receptor 19, GPR NGA, GPR19
GPR19
IgG
Antigen Affinity Chromatography
Antibody
Videos
SDS
Documents

Documents

Product Certifications
Product Content Correction

Your input is important to us. Please complete this form to provide feedback related to the content on this product.

Product Title

By clicking Submit, you acknowledge that you may be contacted by Fisher Scientific in regards to the feedback you have provided in this form. We will not share your information for any other purposes. All contact information provided shall also be maintained in accordance with our Privacy Policy.

Thank You! Your feedback has been submitted. Fisher Scientific is always working to improve our content for you. We appreciate your feedback.