missing translation for 'onlineSavingsMsg'
Learn More
Learn More
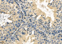
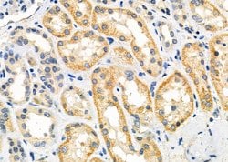
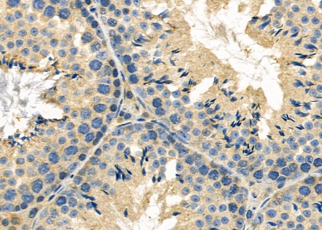
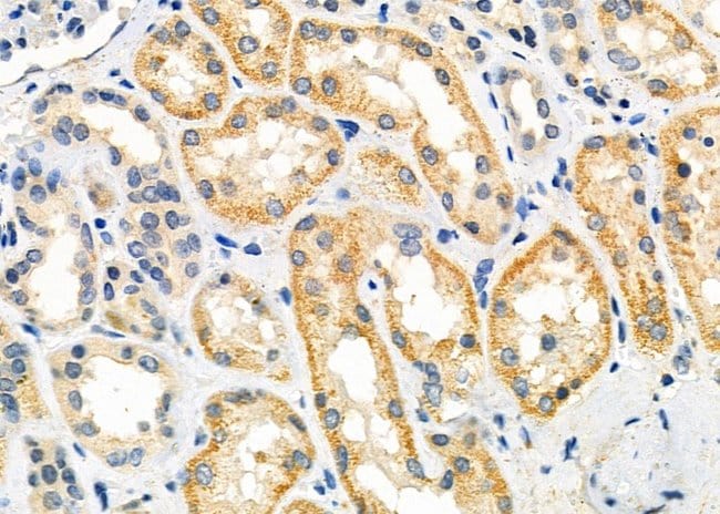
GPR139 Polyclonal Antibody

Marca: Thermo Scientific PA5115319
Este artículo no se puede devolver.
Vea la política de devoluciones
Descripción
Especificaciones
| GPR139 | |
| Polyclonal | |
| Unconjugated | |
| GPR139 | |
| G protein-coupled receptor 139; G protein-coupled receptor PGR3; g(q)-coupled orphan receptor GPRg1; Gm495; Gpr139; GPRG1; G-protein coupled receptor 139; G-protein-coupled receptor PGR3; orphan G protein-coupled receptor TRHRL2; PGR3; Probable G-protein coupled receptor 139 | |
| Rabbit | |
| Affinity chromatography | |
| RUO | |
| 124274, 209776 | |
| -20°C | |
| Liquid |
| Immunohistochemistry (Paraffin), Western Blot | |
| 1 mg/mL | |
| PBS with 50% glycerol and 0.02% sodium azide | |
| Q6DWJ6, Q80UC8 | |
| GPR139 | |
| A synthesized peptide derived from human GPR139(Accession Q6DWJ6), corresponding to amino acid residues H187-F237. | |
| 100 μL | |
| Primary | |
| Human, Mouse | |
| Antibody | |
| IgG |
Corrección del contenido de un producto
Proporcione sus comentarios sobre el contenido del producto rellenando el siguiente formulario.
Título del producto
¿Detecta una oportunidad de mejora?Comparta una corrección de contenido