missing translation for 'onlineSavingsMsg'
Learn More

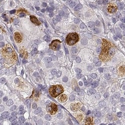
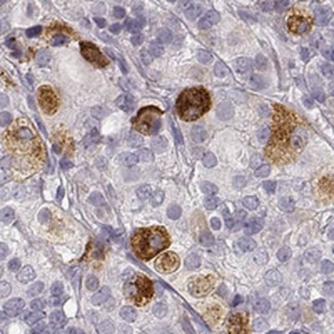
GPR10 Antibody, Novus Biologicals™

Rabbit Polyclonal Antibody

Brand:  Novus Biologicals NBP1-89741

 View more versions of this product

Product Code. 18207326

  • £470.00 / 0.10mL

Please to purchase this item. Need a web account? Register with us today!

This item is not returnable. View return policy

Description

Description

GPR10 Polyclonal specifically detects GPR10 in Human samples. It is validated for Immunohistochemistry, Immunohistochemistry-Paraffin.
TRUSTED_SUSTAINABILITY
Specifications

Specifications

GPR10
Polyclonal
Immunohistochemistry 1:50 - 1:200, Immunohistochemistry-Paraffin 1:50-1:200
G protein-coupled receptor 10, GPR10MGC126539, G-protein coupled receptor 10, GR3, hGR3, MGC126541, prolactin releasing hormone receptor, prolactin releasing peptide receptor, prolactin-releasing hormone receptor, prolactin-releasing peptide receptor, PrRP receptor, PrRPR
Rabbit
Affinity Purified
RUO
Primary
Specificity of antibody verified on a Protein Array containing target protein plus 383 other non-specific proteins.
Store at 4C short term. Aliquot and store at -20C long term. Avoid freeze-thaw cycles.
Immunohistochemistry, Immunohistochemistry (Paraffin)
Unconjugated
PBS (pH 7.2) and 40% Glycerol with 0.02% Sodium Azide
PRLHR
This antibody was developed against Recombinant Protein corresponding to amino acids:TTPANQSAEASAGNGSVAGADAPAVTPFQSLQLVHQLK
0.1 mL
GPCR
2834
Human
IgG
Product Suggestions

Product Suggestions

Videos
SDS
Documents

Documents

Certificates
Promotions

Promotions

Product Content Correction

Your input is important to us. Please complete this form to provide feedback related to the content on this product.

Product Title

By clicking Submit, you acknowledge that you may be contacted by Fisher Scientific in regards to the feedback you have provided in this form. We will not share your information for any other purposes. All contact information provided shall also be maintained in accordance with our Privacy Policy.

Thank You! Your feedback has been submitted. Fisher Scientific is always working to improve our content for you. We appreciate your feedback.

For Research Use Only