missing translation for 'onlineSavingsMsg'
Learn More
Learn More
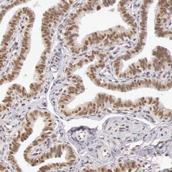
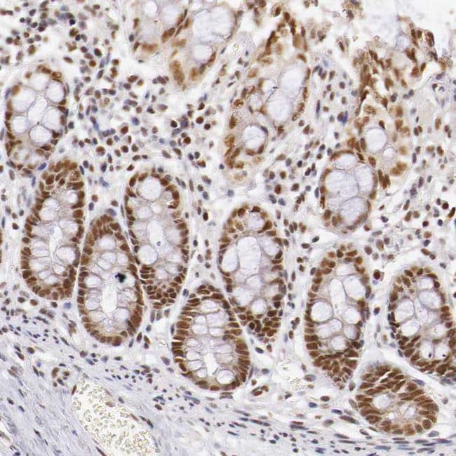
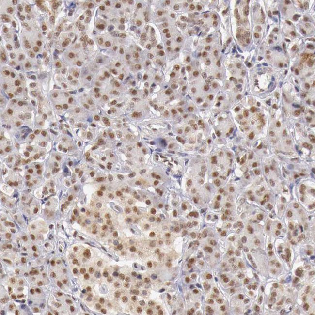
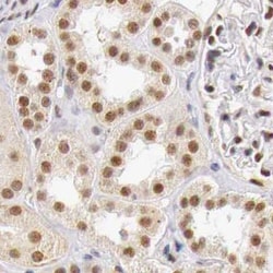
Invitrogen™ GPKOW Polyclonal Antibody

Rabbit Polyclonal Antibody
Brand: Invitrogen™ PA551374
This item is not returnable.
View return policy
Description
Immunogen sequence: ELQSVKPQEA PKELVIPLIQ NGHRRQPPAR PPGPSTDTGA LADGVVSQAV KELIAESKKS LEERENAGVD PTLAIPMIQK GCTPSGEGAD SEPRAETVPE EANYEA Highest antigen sequence identity to the following orthologs: Mouse - 77%, Rat - 79%.
This gene encodes a putative RNA-binding protein containing G-patch and KOW (Kyprides, Ouzounis, Woese) domains. The encoded protein interacts directly with protein kinase A and protein kinase X and is also found associated with the spliceosome.
Specifications
| GPKOW | |
| Polyclonal | |
| Unconjugated | |
| GPKOW | |
| 4432411B18; DXErtd697e; DXImx41e; G patch domain and KOW motifs; G patch domain and KOW motifs-containing protein; GPATC5; G-patch domain and KOW motifs; G-patch domain and KOW motifs-containing protein; G-patch domain-containing protein 5; GPATCH5; GPKOW; Protein MOS2 homolog; Protein T54; Spp2; T54 | |
| Rabbit | |
| Antigen affinity chromatography | |
| RUO | |
| 209416, 27238, 679890 | |
| Store at 4°C short term. For long term storage, store at -20°C, avoiding freeze/thaw cycles. | |
| Liquid |
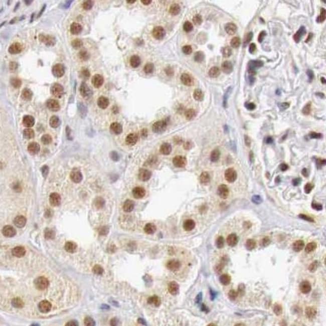
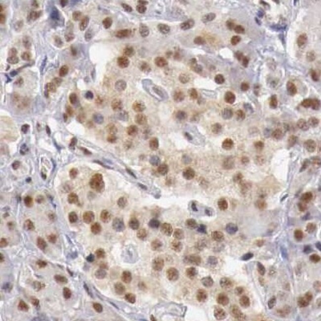
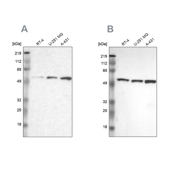
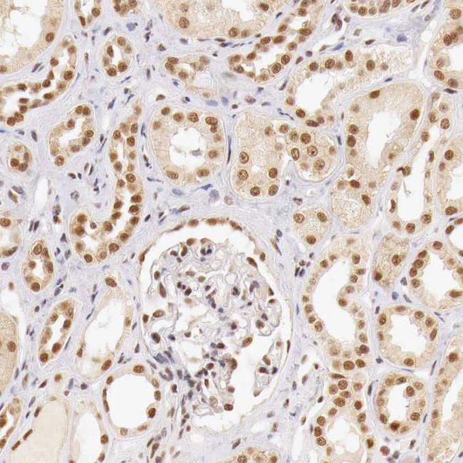
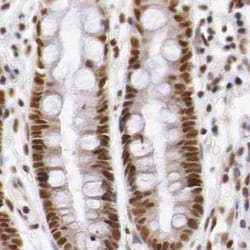
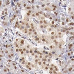
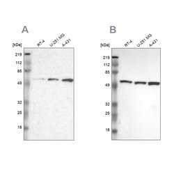
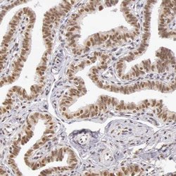
| Immunohistochemistry (Paraffin), Western Blot, Immunocytochemistry | |
| 0.1 mg/mL | |
| PBS with 40% glycerol and 0.02% sodium azide; pH 7.2 | |
| Q56A08, Q92917 | |
| GPKOW | |
| Recombinant protein corresponding to Human GPKOW. Recombinant protein control fragment (Product #RP-91888). | |
| 100 μL | |
| Primary | |
| Human, Mouse, Rat | |
| Antibody | |
| IgG |
Product Content Correction
Your input is important to us. Please complete this form to provide feedback related to the content on this product.
Product Title
Spot an opportunity for improvement?Share a Content Correction