missing translation for 'onlineSavingsMsg'
Learn More

GOT2 Rabbit anti-Human, Mouse, Rat, Clone: 4J7O3, Novus Biologicals™

Product Code. 18365194 Shop All Bio Techne Products
Change view
Click to view available options
Quantity:
100 μg
20 μg
Unit Size:
100µL
20µL
2 product options available for selection
Product selection table with 2 available options. Use arrow keys to navigate and Enter or Space to select.
Product Code. Quantity unitSize
18365194 100 μg 100µL
18336395 20 μg 20µL
Use arrow keys to navigate between rows. Press Enter or Space to select a product option. 2 options available.
2 options
This item is not returnable. View return policy
Product Code. 18365194 Supplier Novus Biologicals Supplier No. NBP315708100UL

Please to purchase this item. Need a web account? Register with us today!

This item is not returnable. View return policy

Rabbit Monoclonal Antibody

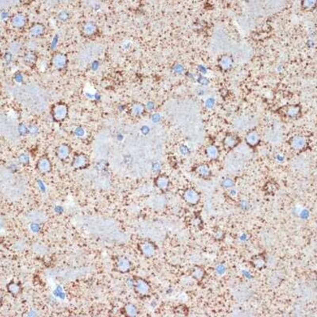
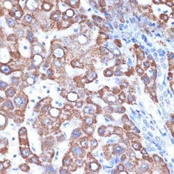
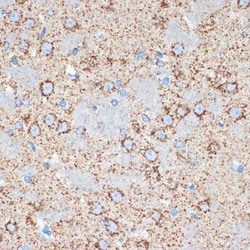
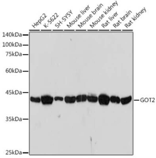
GOT2 Monoclonal antibody specifically detects GOT2 in Human, Mouse, Rat samples. It is validated for Western Blot, Immunohistochemistry, Immunohistochemistry (Paraffin)
TRUSTED_SUSTAINABILITY

Specifications

Antigen GOT2
Applications Western Blot, Immunohistochemistry, Immunohistochemistry (Paraffin)
Classification Monoclonal
Clone 4J7O3
Conjugate Unconjugated
Dilution Western Blot 1:500 - 1:2000, Immunohistochemistry 1:50 - 1:200, Immunohistochemistry-Paraffin
Formulation PBS, 0.05% BSA, 50% glycerol, pH7.3
Gene Alias aspartate aminotransferase, mitochondrial, EC 2.6.1, EC 2.6.1.1, FABP-1, FABPpm, Fatty acid-binding protein, FLJ40994, Glutamate oxaloacetate transaminase 2, glutamic-oxaloacetic transaminase 2, mitochondrial (aspartate aminotransferase2), KAT4, KATIV, kynurenine aminotransferase IV, mAspAT, mitAAT, Plasma membrane-associated fatty acid-binding protein, Transaminase A
Host Species Rabbit
Immunogen A synthetic peptide corresponding to a sequence within amino acids 1-100 of human GOT2 (P00505).
Purification Method Affinity purified
Quantity 100 μg
Regulatory Status RUO
Research Discipline Amino Acids Drugs and other small molecules, Cancer, Endocrinology, Signal Transduction
Primary or Secondary Primary
Gene ID (Entrez) 2806
Target Species Human, Mouse, Rat
Content And Storage Store at -20°C. Avoid freeze-thaw cycles.
Form Purified
Isotype IgG
Show More Show Less
Product Title
Select an issue

By clicking Submit, you acknowledge that you may be contacted by Fisher Scientific in regards to the feedback you have provided in this form. We will not share your information for any other purposes. All contact information provided shall also be maintained in accordance with our Privacy Policy.