missing translation for 'onlineSavingsMsg'
Learn More
Learn More
Invitrogen™ GOT1 Polyclonal Antibody

Description
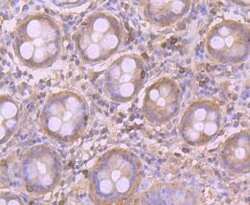
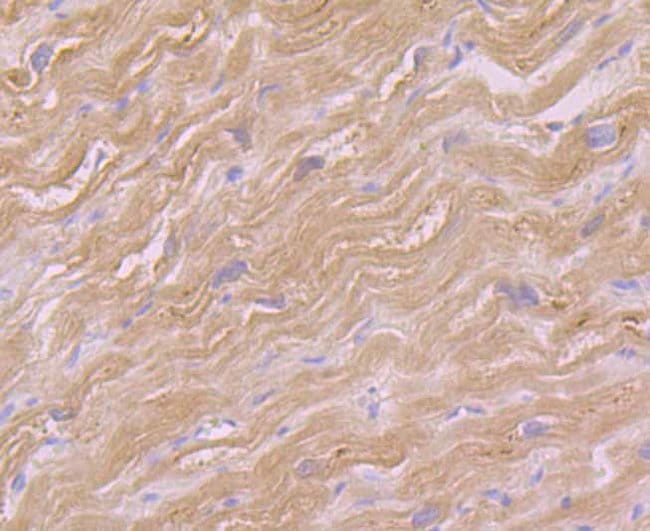
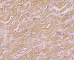
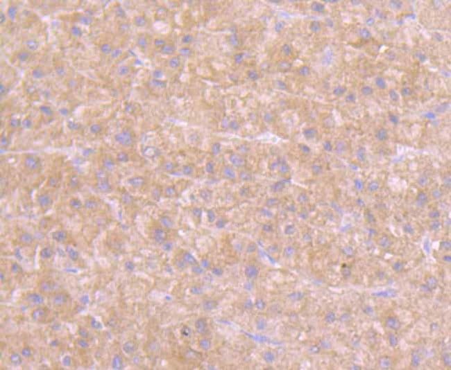
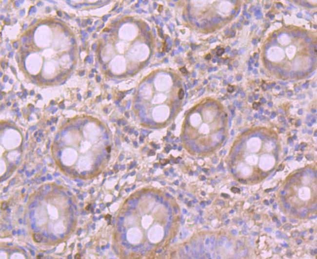
Positive Control: K562, human liver tissue, human colon tissue, human heart tissue. Subcellular Location: Cytoplasm.
GOT1 is a glutamic-oxaloacetic transaminase is a pyridoxal phosphate-dependent enzyme which exists in cytoplasmic and mitochondrial forms, GOT1 and GOT2, respectively. GOT plays a role in amino acid metabolism and the urea and tricarboxylic acid cycles. The two enzymes are homodimeric and show close homology.
Specifications
Specifications
| Antigen | GOT1 |
| Applications | Flow Cytometry, Immunohistochemistry (Paraffin), Western Blot |
| Classification | Polyclonal |
| Concentration | 1 mg/mL |
| Conjugate | Unconjugated |
| Formulation | PBS with 0.2% BSA, 50% glycerol and 0.05% sodium azide; pH 7.4 |
| Gene | GOT1 |
| Gene Accession No. | P17174 |
| Gene Alias | AI789014; aspartate aminotransferase 1; aspartate aminotransferase, cytoplasmic; aspartate transaminase 1; Aspat; AST1; ASTQTL1; cAspAT; cCAT; Cysteine aminotransferase, cytoplasmic; cysteine transaminase, cytoplasmic; cytosolic aspartate aminotransferase; Gaspat; GIG18; Glutamate oxaloacetate transaminase 1; glutamate oxaloacetate transaminase 1, soluble; glutamic-oxaloacetic transaminase 1; glutamic-oxaloacetic transaminase 1, soluble; glutamic-oxaloacetic transaminase 1, soluble (aspartate aminotransferase 1); GOT1; Got-1; growth-inhibiting protein 18; testis secretory sperm-binding protein Li 196a; transaminase A |
| Gene Symbols | GOT1 |
| Show More |
Product Title
By clicking Submit, you acknowledge that you may be contacted by Fisher Scientific in regards to the feedback you have provided in this form. We will not share your information for any other purposes. All contact information provided shall also be maintained in accordance with our Privacy Policy.
Spot an opportunity for improvement?