missing translation for 'onlineSavingsMsg'
Learn More

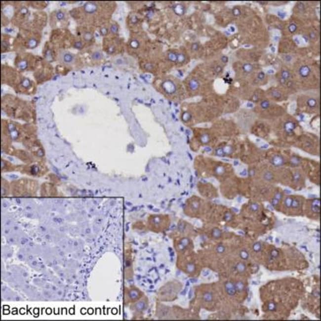
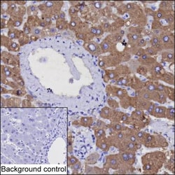
Invitrogen™ Golgi protein 58k Recombinant Human Monoclonal Antibody (K92024_4F3)

Product Code. 30828902
Change view
Click to view available options
Quantity:
50 μL
100 μL
2 product options available for selection
Product selection table with 2 available options. Use arrow keys to navigate and Enter or Space to select.
Product Code. Quantity
30828902 50 μL
30824727 100 μL
Use arrow keys to navigate between rows. Press Enter or Space to select a product option. 2 options available.
2 options
This item is not returnable. View return policy
Product Code. 30828902 Supplier Invitrogen™ Supplier No. MA565877

Please to purchase this item. Need a web account? Register with us today!

This item is not returnable. View return policy

Human Recombinant Monoclonal Antibody

Immunogen sequence: FSEGKNQEVI DAISGAITQT PGCVLLDVDA GPSTNRTVYT FVGPPECVVE GALNAARVAS RLIDMSRHQG EHPRMGALDV CPFIPVRGVS VDECVLCAQA FGQRLAEELD VPVYLYGEAA RMDSRRTLPA IRAGEYEALP KKLQQADWAP DFGPSSFVPS WGATATGARK FLIAFNINLL GTKEQAHRIA LNLREQGRGK DQPGRLKKVQ GIGWYLDEKN LAQVSTNLLD FEVTALHTVY EETCREAQEL SLPVVGSQLV GLVPLKALLD AAAFYCEKEN LFILEEEQRI RLVVSRLGLD SLCPFSPKER IIEYLVPERG Highest antigen sequence identity to the following orthologs: Mouse - 88%, Rat - 89%, Pig - 87%, Cynomolgus monkey - 97%.

Golgi Protein, 58K is a bifunctional enzyme that channels 1-carbon units from formiminoglutamate, a metabolite of the histidine degradation pathway, to the folate pool. Mutations in this gene are associated with glutamate formiminotransferase deficiency. Alternatively spliced transcript variants have been found for this gene.
TRUSTED_SUSTAINABILITY

Specifications

Antigen Golgi protein 58k
Applications ELISA, Immunohistochemistry (Paraffin), Western Blot
Classification Recombinant Monoclonal
Clone K92024_4F3
Concentration 1 mg/mL
Conjugate Unconjugated
Formulation PBS with 0.5% BSA, 50% glycerol and 0.09% sodium azide
Gene Ftcd
Gene Accession No. O95954
Gene Alias 58 kDa microtubule-binding protein; Formimidoyltetrahydrofolate cyclodeaminase; formimidoyltransferase cyclodeaminase; Formimidoyltransferase-cyclodeaminase; Formiminotetrahydrofolate cyclodeaminase; formiminotransferase cyclodeaminase; formiminotransferase-cyclodeaminase; FTCD; Glutamate formimidoyltransferase; Glutamate formiminotransferase; Glutamate formyltransferase; I79_006831; LCHC1
Gene Symbols Ftcd
Host Species Human
Immunogen Recombinant human FTCD (aa 11-330).
Purification Method Protein A
Quantity 50 μL
Regulatory Status RUO
Primary or Secondary Primary
Gene ID (Entrez) 10841
Target Species Human
Content And Storage Maintain refrigerated at 2-8°C for up to 1 month. For long term storage store at -20°C
Product Type Antibody
Form Liquid
Isotype IgG1
Show More Show Less
Product Title
Select an issue

By clicking Submit, you acknowledge that you may be contacted by Fisher Scientific in regards to the feedback you have provided in this form. We will not share your information for any other purposes. All contact information provided shall also be maintained in accordance with our Privacy Policy.