missing translation for 'onlineSavingsMsg'
Learn More
Learn More
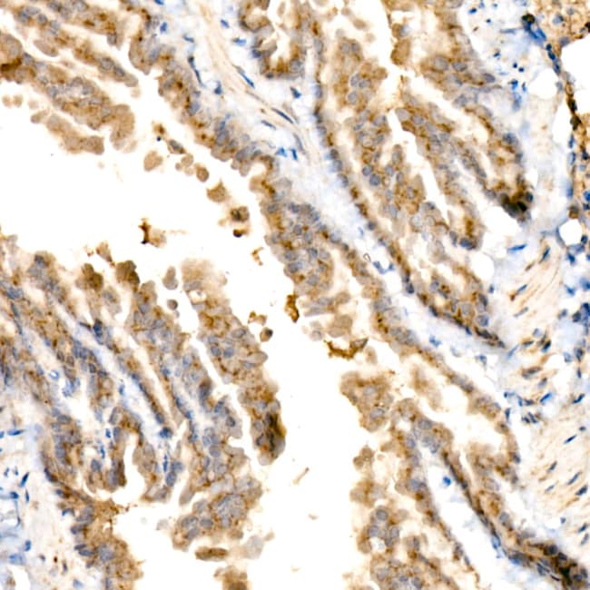
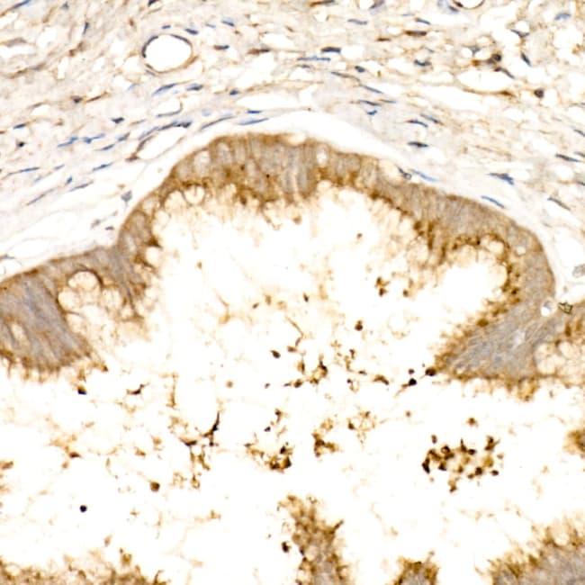
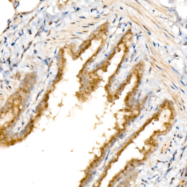
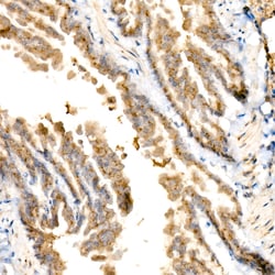
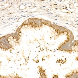
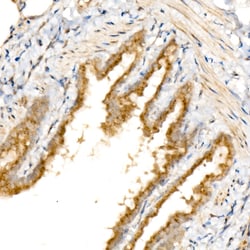
Invitrogen™ GOLGA4 Recombinant Rabbit Monoclonal Antibody (1I4T6)

Rabbit Recombinant Monoclonal Antibody
Brand: Invitrogen™ MA558088
This item is not returnable.
View return policy
Description
Immunogen sequence: MFKKLKQKIS EEQQQLQQAL APAQASSNSS TPTRMRSRTS SFTEQLDEGT PNRESGDTQS FAQKLQLRVP SVESLFRSPI KESLFRSSSK ESLVRTSSRE SLNRLDLDSS TASFDPPSDM DSEAEDLVGN SDSLNKEQLI QRLRRMERSL.
The Golgi apparatus, which participates in glycosylation and transport of proteins and lipids in the secretory pathway, consists of a series of stacked cisternae (flattened membrane sacs). Interactions between the Golgi and microtubules are thought to be important for the reorganization of the Golgi after it fragments during mitosis. This gene encodes one of the golgins, a family of proteins localized to the Golgi. This protein has been postulated to play a role in Rab6-regulated membrane-tethering events in the Golgi apparatus. Alternatively spliced transcript variants encoding different isoforms have been identified in this gene.
Specifications
| GOLGA4 | |
| Recombinant Monoclonal | |
| 1.26 mg/mL | |
| PBS with 0.05% BSA, 50% glycerol and 0.09% sodium azide; pH 7.3 | |
| Q13439, Q5U4E6, Q91VW5 | |
| GOLGA4 | |
| Recombinant fusion protein containing a sequence corresponding to amino acids 1-150 of human GOLGA4 (NP_002069.2). | |
| 100 μL | |
| Primary | |
| Human, Mouse, Rat | |
| Antibody | |
| IgG |
| ELISA, Immunohistochemistry (Paraffin) | |
| 1I4T6 | |
| Unconjugated | |
| GOLGA4 | |
| 256 kDa golgin; 72.1 protein; AI225887; AU019508; centrosome-related protein F46; CRPF46; EMBL:AAH85124.1, ECO:0000312; GCP2; GOLG; Golga4; golga4 {ECO:0000312; golgi autoantigen, golgin subfamily a, 4; golgin A4; Golgin subfamily A member 4; golgin subfamily A member 4 {ECO:0000250; golgin-240; golgin-245; MU-RMS-40.18; Olp-1; p230; protein 72.1; RGD:1591925}; tGolgin-1; trans-Golgi p230; UniProtKB:Q13439} | |
| Rabbit | |
| Protein A | |
| RUO | |
| 2803, 501069, 54214 | |
| -20°C, Avoid Freeze/Thaw Cycles | |
| Liquid |
Product Content Correction
Your input is important to us. Please complete this form to provide feedback related to the content on this product.
Product Title
Spot an opportunity for improvement?Share a Content Correction