missing translation for 'onlineSavingsMsg'
Learn More

COPS2, Goat, Polyclonal Antibody, Abnova™

Goat polyclonal antibody raised against synthetic peptide of COPS2.

Brand:  Abnova PAB6396.100ug

Product Code. 16089627

  • £432.00 / 100µg

Please to purchase this item. Need a web account? Register with us today!

This item is not returnable. View return policy

Description

Description

Sequence: C-LNSLNQAVVSKLA
Specifications

Specifications

COPS2
Polyclonal
Unconjugated
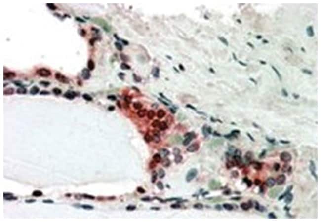
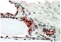
ELISA (1:16000) Western blot (1-3 ug/mL) Immunohistochemistry (Formalin/PFA-fixed paraffin-embedded sections) (3-5 ug/mL) The optimal working dilution should be determined by the end user.
COPS2
ALIEN/CSN2/SGN2/TRIP15
Goat
Antigen affinity purification
RUO
9318
Store at -20°C.
Aliquot to avoid repeated freezing and thawing.
ELISA, Immunohistochemistry (PFA fixed), Western Blot
0.5 mg/mL
Goat polyclonal antibody raised against synthetic peptide of COPS2.
In Tris saline, pH 7.3 (0.5% BSA, 0.02% sodium azide)
NP_004227.1
COPS2
A synthetic peptide corresponding to human COPS2.
100 μg
Primary
Human, Mouse
Liquid
Product Suggestions

Product Suggestions

Videos
SDS
Documents

Documents

Certificates
Promotions

Promotions

Product Content Correction

Your input is important to us. Please complete this form to provide feedback related to the content on this product.

Product Title

By clicking Submit, you acknowledge that you may be contacted by Fisher Scientific in regards to the feedback you have provided in this form. We will not share your information for any other purposes. All contact information provided shall also be maintained in accordance with our Privacy Policy.

Thank You! Your feedback has been submitted. Fisher Scientific is always working to improve our content for you. We appreciate your feedback.

For Research Use Only