Learn More
Invitrogen™ GFM1 Polyclonal Antibody

Rabbit Polyclonal Antibody
Brand: Invitrogen™ PA5109763
Description
Immunogen sequence: VYFDTENKET VISGMGELHL EIYAQRLERE YGCPCITGKP KVAFRETITA PVPFDFTHKK QSGGAGQYGK VIGVLEPLDP EDYTKLEFSD ETFGSNIPKQ FVPAVEKGFL DACEKGPLSG HKLSGLRFVL QDGAHHMVDS NEISFIRAGE GALKQALANA TLCILEPIMA VEVVAPNEFQ GQVIAGINRR HGVITGQDGV EDYFTLYADV PLNDMFGYST ELRSCTEGKG EYTMEYSRYQ PCLPSTQEDV INKYLEATGQ LPVKKGKAKN.
Eukaryotes contain two protein translational systems, one in the cytoplasm and one in the mitochondria. Mitochondrial translation is crucial for maintaining mitochondrial function and mutations in this system lead to a breakdown in the respiratory chain-oxidative phosphorylation system and to impaired maintenance of mitochondrial DNA. This gene encodes one of the mitochondrial translation elongation factors. Its role in the regulation of normal mitochondrial function and in different disease states attributed to mitochondrial dysfunction is not known.
Specifications
| GFM1 | |
| Polyclonal | |
| Unconjugated | |
| GFM1 | |
| AW545374; COXPD1; D3Wsu133e; Efg; EF-G; Efg1; EFGM; EF-Gmt; EF-Gmt {ECO:0000255; EGF1; Elongation factor G 1, mitochondrial; elongation factor G 1, mitochondrial {ECO:0000255; elongation factor G, mitochondrial; elongation factor G, mitochondrial {ECO:0000255; Elongation factor G1; elongation factor G1 {ECO:0000255; G elongation factor 1; G elongation factor mitochondrial 1; G elongation factor, mitochondrial 1; G translation elongation factor, mitochondrial; GFM; Gfm1; HAMAP-Rule:MF_03061}; hEFG1; mEF-G 1; mEF-G 1 {ECO:0000255; mitochondrial; mitochondrial elongation factor G; mitochondrial elongation factor G1 | |
| Rabbit | |
| Affinity chromatography | |
| RUO | |
| 114017, 28030, 85476 | |
| -20°C, Avoid Freeze/Thaw Cycles | |
| Liquid |
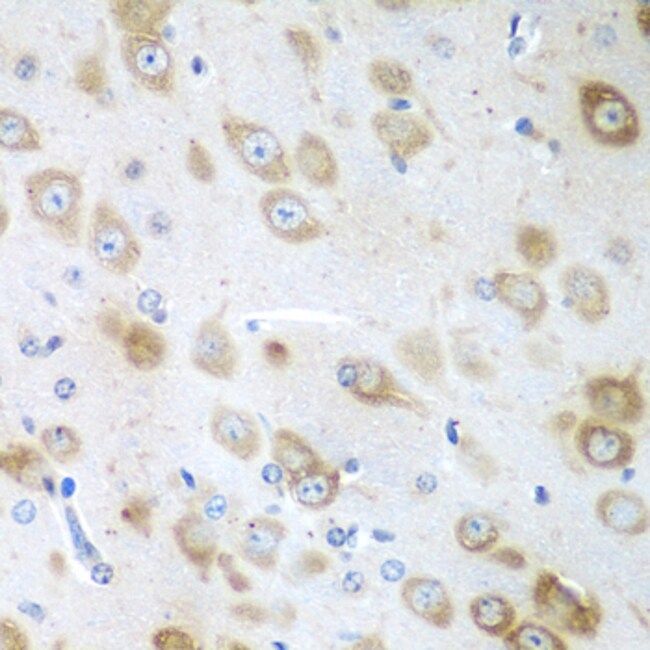
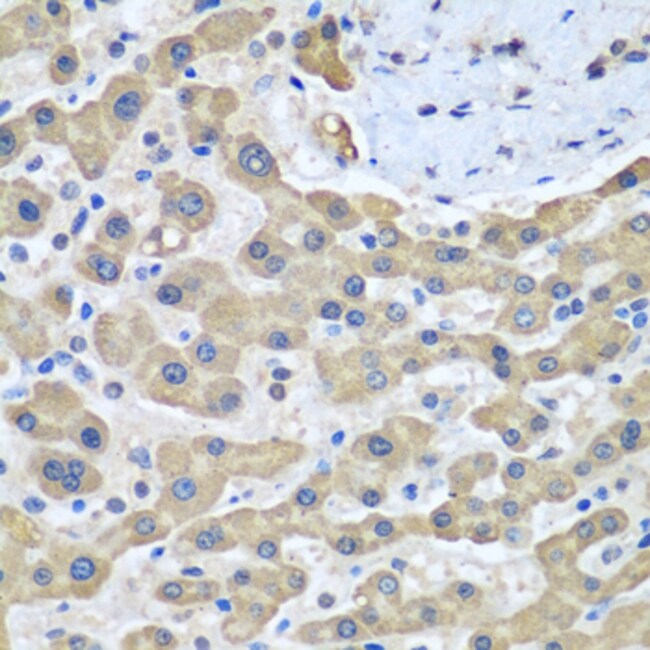
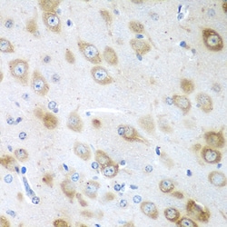
| ELISA, Immunohistochemistry (Paraffin), Western Blot | |
| 2.83 mg/mL | |
| PBS with 50% glycerol and 0.02% sodium azide; pH 7.3 | |
| Q07803, Q8K0D5, Q96RP9 | |
| GFM1 | |
| Recombinant fusion protein containing a sequence corresponding to amino acids 482-751 of human GFM1 (NP_079272.4). | |
| 100 μL | |
| Primary | |
| Human, Mouse, Rat | |
| Antibody | |
| IgG |
Your input is important to us. Please complete this form to provide feedback related to the content on this product.