missing translation for 'onlineSavingsMsg'
Learn More

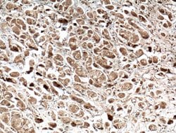
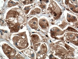
GDI1 Mouse anti-Human, Mouse, Porcine, Rat, Clone: 4E1G1, Proteintech

Mouse Monoclonal Antibody

Brand:  Proteintech 66434-1-IG-20UL

 View more versions of this product

Product Code. 16878305

  • £135.00 / 20µL

Please to purchase this item. Need a web account? Register with us today!

This item is not returnable. View return policy

Description

Description

GDP dissociation inhibitors are proteins that regulate the GDP-GTP exchange reaction of members of the rab family, small GTP-binding proteins of the ras superfamily, that are involved in vesicular trafficking of molecules between cellular organelles. GDIs slow the rate of dissociation of GDP from rab proteins and release GDP from membrane-bound rabs. GDI1 is expressed primarily in neural and sensory tissues. Mutations in GDI1 have been linked to X-linked nonspecific mental retardation.
Specifications

Specifications

GDI1
Monoclonal
1 mg/mL
PBS with 50% glycerol and 0.02% sodium azide; pH 7.3
P31150, P50396, P50398
GDI1
GDI1 Fusion Protein Ag17511
20 μL
Primary
Rat, Mouse, Human, Pig
Antibody
IgG1
Immunocytochemistry, Western Blot, Immunohistochemistry (Paraffin), Immunofluorescence
4E1G1
Unconjugated
GDI1
GDI 1, GDI1, GDIL, GDP dissociation inhibitor 1, MRX41, MRX48, Oligophrenin 2, OPHN2, Protein XAP 4, Rab GDI alpha, RABGD1A, RABGDIA, XAP 4, XAP4
Mouse
Protein G
RUO
100623607, 14567, 25183, 2664
-20°C
Liquid
Product Suggestions

Product Suggestions

Videos
SDS
Documents

Documents

Certificates
Promotions

Promotions

Product Content Correction

Your input is important to us. Please complete this form to provide feedback related to the content on this product.

Product Title

By clicking Submit, you acknowledge that you may be contacted by Fisher Scientific in regards to the feedback you have provided in this form. We will not share your information for any other purposes. All contact information provided shall also be maintained in accordance with our Privacy Policy.

Thank You! Your feedback has been submitted. Fisher Scientific is always working to improve our content for you. We appreciate your feedback.