missing translation for 'onlineSavingsMsg'
Learn More

Invitrogen™ GCDFP-15 Polyclonal Antibody

Rabbit Polyclonal Antibody

Brand:  Invitrogen™ PA5121963

 View more versions of this product

Product Code. 17713364

  • £178.00 / 20µL

Please to purchase this item. Need a web account? Register with us today!

This item is not returnable. View return policy

Description

Description

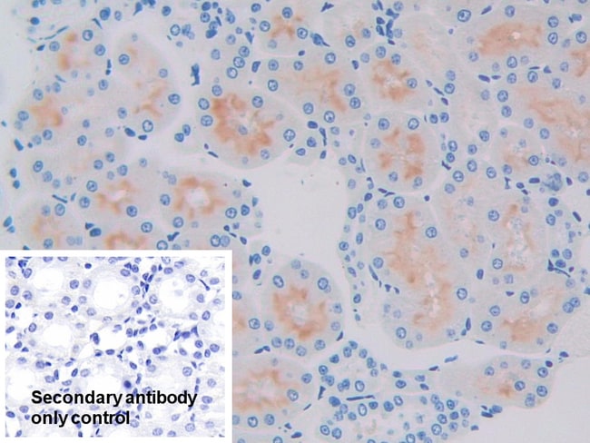
GCDFP-15 Polyclonal Antibody for Western Blot, ICC/IF, IHC (P)

Gross cystic disease of the breast is benign premenopausal disorder in which cysts are a predominant pathological lesion. These cysts appear to be formed from excessive apocrine cystic secretions. This fluid is composed of several glycoproteins including a unique 15kDa monomer protein, Gross Cystic Disease Fluid Protein-15 (GCDFP15). Cytosolic analysis of normal tissue specimens from all major organs has demonstrated GCDFP15 in apocrine epithelia, lacrimal, ceruminous and Moll's glands and in numerous serous cells of the submandibular, tracheal, bronchial, sublingual and minor salivary glands. GCDFP15 and prostate specific antigen are co-expressed in androgen receptor-positive breast tumours.
TRUSTED_SUSTAINABILITY
Specifications

Specifications

GCDFP-15
Polyclonal
Unconjugated
PIP
14 kDa submandibular gland protein; gcdfp 15; GCDFP15; GCDFP-15; gp17; GPIP4; Gross cystic disease fluid protein 15; HGNC:8993; mSMGP; PIP; prolactin induced protein; prolactin-induced protein; Prolactin-inducible protein; prolactin-inducible protein homolog; SABP; secretory actin-binding protein; SMGP
Rabbit
Antigen affinity chromatography, Protein A
RUO
64673
Store at 4°C short term. For long term storage, store at -20°C, avoiding freeze/thaw cycles.
Liquid
Immunohistochemistry (Paraffin), Western Blot, Immunocytochemistry
0.5 mg/mL
PBS with 50% glycerol and 0.05% ProClin 300; pH 7.4
O70417
PIP
Recombinant protein Prolactin Induced Protein. The antigen corresponds to amino acid range 41-139 of the target protein.
20 μL
Primary
Rat
Antibody
IgG
Product Suggestions

Product Suggestions

Videos
SDS
Documents

Documents

Certificates
Promotions

Promotions

Product Content Correction

Your input is important to us. Please complete this form to provide feedback related to the content on this product.

Product Title

By clicking Submit, you acknowledge that you may be contacted by Fisher Scientific in regards to the feedback you have provided in this form. We will not share your information for any other purposes. All contact information provided shall also be maintained in accordance with our Privacy Policy.

Thank You! Your feedback has been submitted. Fisher Scientific is always working to improve our content for you. We appreciate your feedback.