missing translation for 'onlineSavingsMsg'
Learn More
Learn More
Invitrogen™ GAPDH Polyclonal Antibody

Description
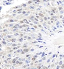
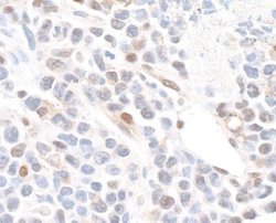
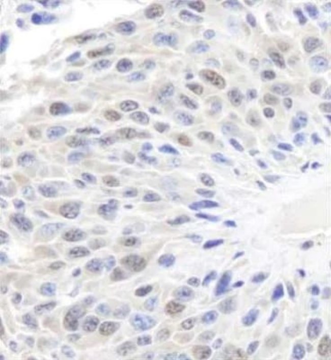
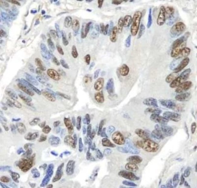
Prior to immunostaining paraffin tissues, antigen retrieval with sodium citrate buffer (pH 6.0) is recommended. Suggested positive control: antigen standard for GAPDH (transient overexpression lysate).
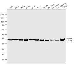
GAPDH (Glyceraldehyde-3-phosphate dehydrogenase) is a catalytic enzyme commonly known to be involved in glycolysis. GAPDH exists as a tetramer of identical 37-kDa subunits and catalyzes the reversible reduction of 1,3-bisphosphoglycerate to glyceraldehyde 3-phosphophate in the presence of NADPH. Apart from playing a key role in glycolysis, GAPDH is ubiquitously expressed and displays other activities unrelated to its glycolytic function. GAPDH is reported to be involved in the processes of DNA replication, DNA repair, nuclear RNA export, membrane fusion and microtubule bundling. Studies provide evidence of GAPDH playing an essential part in gene expression observed in apoptosis and as part of the cellular phenotype of age-related neurodegenerative diseases. Further, GAPDH is involved in other cellular processes ranging from membrane fusion, and neuronal apoptosis in cancer. GAPDH is reported to bind to a variety of other proteins, including the amyloid precursor protein, mutations in which cause some forms of Alzheimer's disease (AD), and the polyglutamine tracts of Huntingtin, the protein product aberrant forms of which are causative of Huntington's disease. Associations between GAPDH, actin and tubulin have also be reported. Since GAPDH is expressed at high levels in most tissues, it is useful as protein loading control in Western Blot analysis.
Specifications
Specifications
| Antigen | GAPDH |
| Applications | Immunohistochemistry (Paraffin), Immunoprecipitation, Western Blot, Immunocytochemistry |
| Classification | Polyclonal |
| Concentration | 0.2 mg/mL |
| Conjugate | Unconjugated |
| Formulation | TBS with 0.1% BSA and 0.09% sodium azide |
| Gene | GAPDHS |
| Gene Accession No. | O14556, P00356, P04406, P04797, P16858, Q64467, Q9ESV6 |
| Gene Alias | 38 kDa BFA-dependent ADP-ribosylation substrate; aging-associated gene 9 protein; BARS-38; bb02e05; cb350; cb609; CDABP0047; EC 1.2.1.12; epididymis secretory protein Li 278; epididymis secretory sperm binding protein Li 162eP; fb71f08; fk58c09; G3PD; G3PDH; GAPD; GAPD2; gapdh; GAPDH2; GAPDH-2; GAPDHS; Gapds; Gapd-s; glceraldehyde-3-phosphate dehydrogenase; glyceraldehyde 3-phosphate dehydrogenase; glyceraldehyde 3-phosphate dehydrogenase, testis-specific; glyceraldehyde phosphate dehydrogenase; glyceraldehyde-3-phosphate dehydrogenase; glyceraldehyde-3-phosphate dehydrogenase (G3PDH); glyceraldehyde-3-phosphate dehydrogenase 2; glyceraldehyde-3-phosphate dehydrogenase GAPDH; glyceraldehyde-3-phosphate dehydrogenase like-17 protein; glyceraldehyde-3-phosphate dehydrogenase type 2; glyceraldehyde-3-phosphate dehydrogenase, spermatogenic; glyceraldehyde-3-phosphate dehydrogenase, testis-specific; glyceraldehyde-phosphate-dehydrogenase; glycerine aldehyde 3-phosphate dehydrogenase; HEL-S-162eP; HEL-S-278; HGNC:4141; HSD35; HSD-35; I79_001391; KNC-NDS6; LOW QUALITY PROTEIN: glyceraldehyde-3-phosphate dehydrogenase, testis-specific; mg:bb02e05; MGC128279 protein; MGC88685; multifunctional protein, glycolytic enzyme; OK/SW-cl.12; Peptidyl-cysteine S-nitrosylase GAPDH; similar to glyceraldehyde 3-phosphate dehydrogenase; spermatogenic cell-specific glyceraldehyde 3-phosphate dehydrogenase 2; Spermatogenic glyceraldehyde-3-phosphate dehydrogenase; Unknown (protein for IMAGE:8101613); unnamed protein product; wu:fb33a10; wu:fb71f08; wu:fk58c09; wu:ft80f05; zgc:76908 |
| Gene Symbols | GAPDH, GAPDHS |
| Show More |
Product Title
By clicking Submit, you acknowledge that you may be contacted by Fisher Scientific in regards to the feedback you have provided in this form. We will not share your information for any other purposes. All contact information provided shall also be maintained in accordance with our Privacy Policy.
Spot an opportunity for improvement?