missing translation for 'onlineSavingsMsg'
Learn More

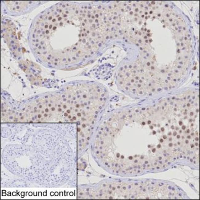
Invitrogen™ NSMCE1 Monoclonal Antibody (K56018_7C3), Invitrogen™

Mouse Monoclonal Antibody

Brand:  Invitrogen™ MA555899

 View more versions of this product

Product Code. 30206843

  • £453.00 / 50µg

Please to purchase this item. Need a web account? Register with us today!

This item is not returnable. View return policy

Description

Description

Sequence of this protein is as follows: MQGSTRRMGV MTDVHRRFLQ LLMTHGVLEE WDVKRLQTHC YKVHDRNATV DKLEDFINNI NSVLESLYIE IKRGVTEDDG RPIYALVNLA TTSISKMATD FAENELDLFR KALELIIDSE TGFASSTNIL NLVDQLKGKK MRKKEAEQVL QKFVQNKWLI EKEGEFTLHG RAILEMEQYI RETYPDAVKI CNICHSLLIQ GQSCETCGIR MHLPCVAKYF QSNAEPRCPH CNDYWPHEIP KVFDPEKERE SGVLKSNKKS LRSRQH

The NSMCE1 (Non-SMC Element 1 Homolog) gene encodes a protein that is a key component of the SMC5-SMC6 complex, which is essential for DNA repair and the maintenance of genomic stability. Located on chromosome 16, the NSMCE1 protein interacts with other components of the SMC5-SMC6 complex, including SMC5, SMC6, and NSMCE2, facilitating the repair of DNA double-strand breaks and promoting chromosome segregation during cell division. NSMCE1 is particularly involved in homologous recombination, a critical pathway for error-free DNA repair. Mutations or deficiencies in NSMCE1 can lead to genomic instability, increased sensitivity to DNA-damaging agents, and have been associated with several genetic disorders and cancer predispositions.
TRUSTED_SUSTAINABILITY
Specifications

Specifications

NSMCE1
Monoclonal
1 mg/mL
PBS with 50% glycerol, 0.5% BSA and 0.09% sodium azide
Q8WV22
NSMCE1
Recombinant human NSMCE1 (immunogen range is 1-266).
50 μL
Primary
Human
Antibody
IgG1
Immunohistochemistry (Paraffin), Immunoprecipitation, Western Blot
K56018_7C3
Unconjugated
NSMCE1
2510027N19Rik; HSPC333; HSPC337; Non-SMC element 1 homolog; non-SMC element 1 homolog (S. cerevisiae); non-structural maintenance of chromosomes element 1 homolog; NSE1; NSE1 homolog, SMC5-SMC6 complex component; Nsmce1; RGD1307760
Mouse
Protein A
RUO
197370
Store at 4°C short term. For long term storage, store at -20°C, avoiding freeze/thaw cycles.
Liquid
Product Suggestions

Product Suggestions

Videos
SDS
Documents

Documents

Certificates
Promotions

Promotions

Product Content Correction

Your input is important to us. Please complete this form to provide feedback related to the content on this product.

Product Title

By clicking Submit, you acknowledge that you may be contacted by Fisher Scientific in regards to the feedback you have provided in this form. We will not share your information for any other purposes. All contact information provided shall also be maintained in accordance with our Privacy Policy.

Thank You! Your feedback has been submitted. Fisher Scientific is always working to improve our content for you. We appreciate your feedback.