missing translation for 'onlineSavingsMsg'
Learn More
Learn More
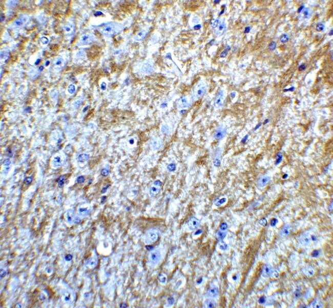
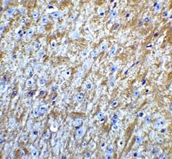
Invitrogen™ GABARAP Polyclonal Antibody

Rabbit Polyclonal Antibody
Brand: Invitrogen™ PA534559
This item is not returnable.
View return policy
Description
A suggested positive control is K562 cell lysate. PA5-34559 can be used with blocking peptide PEP-1602.
Gamma-aminobutyric acid (GABA) is the main inhibitory transmitter by increasing a Cl-conductance that inhibits neuronal firing in the central nervous system. It has been shown to activate both ionotropic (GABAA) and metabotropic (GABAB) receptors as well as a third class of receptors called GABAC. GABARAP (GABAA receptor-associated protein) links GABAA receptors to the cytoskeleton and may play a role in intracellular transport of GABAA receptors and its interaction with the cytoskeleton. GABARAP belongs to the MAP1 or ATG8 like family and recent studies show that MAPK15/ERK8 is acting through interaction with ATG8 family proteins to regulate autophagy.
Specifications
| GABARAP | |
| Polyclonal | |
| Unconjugated | |
| GABARAP | |
| ATG8A; FLC3B; FLJ25768; GABA type A receptor-associated protein; GABA(A) receptor-associated protein; GABA-A receptor-associated protein; Gabarap; GABARAP a; GABARAP-a; gamma-aminobutyric acid receptor associated protein; gamma-aminobutyric acid receptor-associated protein; gamma-aminobutyric acid reseptor associated protein; HT004; hypothetical protein; MGC120154; MGC120155; MM46 | |
| Rabbit | |
| Antigen Affinity Chromatography | |
| RUO | |
| 11337, 56486, 58974 | |
| Maintain refrigerated at 2°C to 8°C for up to 3 months. For long term storage store at -20°C | |
| Liquid |
| Immunohistochemistry, Western Blot | |
| 1 mg/mL | |
| PBS with 0.02% sodium azide | |
| O95166, P60517, Q9DCD6 | |
| GABARAP | |
| A 19 amino acid peptide near the amino terminus of human GABARAP. | |
| 100 μg | |
| Primary | |
| Human, Mouse, Rat | |
| Antibody | |
| IgG |
Product Content Correction
Your input is important to us. Please complete this form to provide feedback related to the content on this product.
Product Title
Spot an opportunity for improvement?Share a Content Correction