missing translation for 'onlineSavingsMsg'
Learn More
Learn More
Invitrogen™ Fyn Polyclonal Antibody

Rabbit Polyclonal Antibody
Brand: Invitrogen™ PA5119637
This item is not returnable.
View return policy
Description
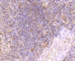
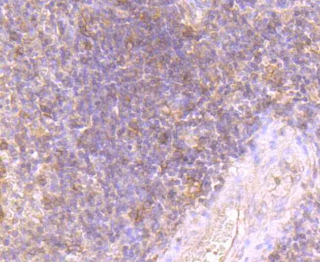
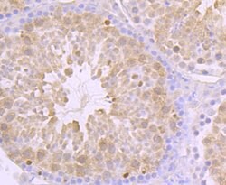
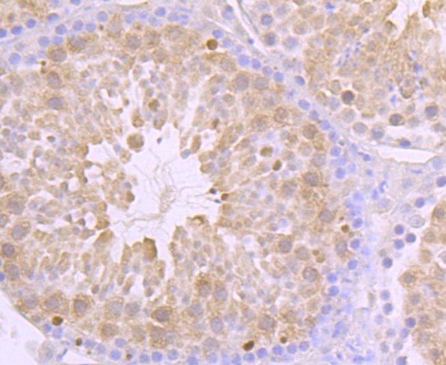
Positive Control: HUVEC, N2A, SH-SY5Y, rat brain tissue, human tonsil tissue, human spleen tissue, mouse testis tissue, mouse brain tissue. Subcellular Location: Cytoplasm. Membrane. Nucleus.
FYN is a SRC-related kinase expressed in brain, skeletal muscle and adipose tissues. Fyn functions in a large number of pathways and has been shown to play a role in memory. FYN is a member of the protein-tyrosine kinase oncogene family. It encodes a membrane-associated tyrosine kinase that has been implicated in the control of cell growth. The protein associates with the p85 subunit of phosphatidylinositol 3-kinase and interacts with the fyn-binding protein. Alternatively spliced transcript variants encoding distinct isoforms exist.
Specifications
| Fyn | |
| Polyclonal | |
| Unconjugated | |
| Fyn | |
| AI448320; AW552119; C syn protooncogene; c-syn protooncogene; EC 2.7.10.2; Fyn; fyn {ECO:0000312; FYN oncogene related to SRC, FGR, YES; Fyn proto-oncogene; FYN proto-oncogene, Src family tyrosine kinase; kinase Fyn; MGC45350; OKT3-induced calcium influx regulator; OTTHUMP00000017916; OTTHUMP00000017917; P59 p59-Fyn; p59-Fyn; Proto-oncogene c-Fyn; Protooncogene Syn; proto-oncogene Syn; proto-oncogene tyrosine-protein kinase Fyn; RGD:2641}; RP1-66H14.1; SLK; Src Kinase p59; Src like kinase; src/yes-related novel; src-like kinase; SYN; tyrosine kinase p59fyn(T); tyrosine-protein kinase Fyn | |
| Rabbit | |
| Affinity chromatography | |
| RUO | |
| 14360, 25150, 2534 | |
| Store at 4°C short term. For long term storage, store at -20°C, avoiding freeze/thaw cycles. | |
| Liquid |
| Flow Cytometry, Immunohistochemistry (Paraffin), Western Blot, Immunocytochemistry | |
| 1 mg/mL | |
| PBS with 0.2% BSA, 50% glycerol and 0.05% sodium azide; pH 7.4 | |
| P06241, P39688, Q62844 | |
| Fyn | |
| Recombinant protein within N-terminal human Fyn. | |
| 100 μL | |
| Primary | |
| Human, Mouse, Rat | |
| Antibody | |
| IgG |
Product Content Correction
Your input is important to us. Please complete this form to provide feedback related to the content on this product.
Product Title
Spot an opportunity for improvement?Share a Content Correction