missing translation for 'onlineSavingsMsg'
Learn More

FXR1 Antibody (2G11), Novus Biologicals™

Product Code. 18399118 Shop All Bio Techne Products
Change view
Click to view available options
Quantity:
0.1 mg
Unit Size:
0.01mg
1 product options available for selection
Product selection table with 1 available options. Use arrow keys to navigate and Enter or Space to select.
Product Code. Quantity unitSize
18399118 0.1 mg 0.01mg
Use arrow keys to navigate between rows. Press Enter or Space to select a product option. 1 options available.
1 options
This item is not returnable. View return policy
Product Code. 18399118 Supplier Novus Biologicals Supplier No. H00008087M01

Please to purchase this item. Need a web account? Register with us today!

This item is not returnable. View return policy

Mouse Monoclonal Antibody

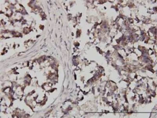
FXR1 Monoclonal antibody specifically detects FXR1 in Human samples. It is validated for Western Blot, ELISA, Immunohistochemistry, Immunohistochemistry (Paraffin), ELISA
TRUSTED_SUSTAINABILITY

Specifications

Antigen FXR1
Applications Western Blot, ELISA, Immunohistochemistry, Immunohistochemistry (Paraffin), Sandwich ELISA
Classification Monoclonal
Clone 2G11
Conjugate Unconjugated
Formulation In 1x PBS, pH 7.4
Gene Accession No. AAH28983
Gene Alias fragile X mental retardation syndrome-related protein 1, fragile X mental retardation, autosomal homolog 1, FXR1P, hFXR1p
Host Species Mouse
Immunogen FXR1 (AAH28983, 121 a.a. ~ 220 a.a) partial recombinant protein with GST tag. MW of the GST tag alone is 26 KDa. VKKNTFFKCTVDVPEDLREACANENAHKDFKKAVGACRIFYHPETTQLMILSASEATVKRVNILSDMHLRSIRTKLMLMSRNEEATKHLECTKQLAAAFH
Purification Method IgG purified
Quantity 0.1 mg
Regulatory Status RUO
Research Discipline Apoptosis, Immune System Diseases, Immunology
Primary or Secondary Primary
Gene ID (Entrez) 8087
Target Species Human
Content And Storage Aliquot and store at -20°C or -80°C. Avoid freeze-thaw cycles.
Form Purified
Isotype IgG1 κ
Afficher plus Afficher moins
Nom du produit
Sélectionnez un problème

En cliquant sur Soumettre, vous reconnaissez que vous pouvez être contacté par Fisher Scientific au sujet des informations que vous avez fournies dans ce formulaire. Nous ne partagerons pas vos informations à d'autres fins. Toutes les informations de contact fournies seront également conservées conformément à notre politique de confidentialité. Politique de confidentialité.