missing translation for 'onlineSavingsMsg'
Learn More
Learn More
Invitrogen™ FXR Monoclonal Antibody (OTI4F12)

Mouse Monoclonal Antibody
Brand: Invitrogen™ MA527121
This item is not returnable.
View return policy
Description
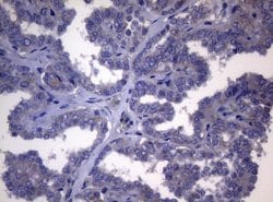
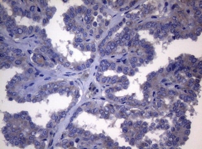
FXR Monoclonal Antibody for Western Blot, IHC (P)
FXR (farnesoid X receptor; NR1H4) belongs to nuclear receptor superfamily of ligand-activated transcription factors (NR1 subfamily) and acts as a receptor for bile acids such as chenodeoxycholic acid, lithocholic acid and deoxycholic acid. FXR plays an essential role in bile acid homeostasis through the regulation of genes involved in bile acid synthesis, conjugation and enterohepatic circulation. FXR also regulates lipid and glucose homeostasis and is involved innate immune response. The FXR-RXR heterodimer binds predominantly to farnesoid X receptor response elements (FXREs) containing two inverted repeats of the consensus sequence 5'-AGGTCA-3' in which the monomers are spaced by 1 nucleotide (IR-1) but also to tandem repeat DR1 sites with lower affinity, and can be activated by either FXR or RXR-specific ligands. In the liver FXR activates transcription of the corepressor NR0B2 thereby indirectly inhibiting CYP7A1 and CYP8B1 (involved in BA synthesis) implicating at least in part histone demethylase KDM1A resulting in epigenomic repression, and SLC10A1/NTCP (involved in hepatic uptake of conjugated BAs). FXR activates transcription of SLC27A5/BACS and BAAT (involved in BA conjugation), ABCB11/BSEP (involved in bile salt export) by directly recruiting histone methyltransferase CARM1, and ABCC2/MRP2 (involved in secretion of conjugated BAs) and ABCB4 (involved in secretion of phosphatidylcholine in the small intestine). (From Uniprot).
Specifications
| FXR | |
| Monoclonal | |
| 1 mg/mL | |
| PBS with 1% BSA, 50% glycerol and 0.02% sodium azide; pH 7.3 | |
| Q96RI1 | |
| NR1H4 | |
| Human recombinant protein fragment corresponding to amino acids 21-297 of NR1H4 produced in E.coli. | |
| 100 μL | |
| Primary | |
| Human | |
| Antibody | |
| IgG1 |
| Immunohistochemistry (Paraffin), Western Blot | |
| OTI4F12 | |
| Unconjugated | |
| NR1H4 | |
| AI957360; BAR; bile acid receptor; farnesoid X activated receptor; farnesoid X nuclear receptor; farnesoid X-activated receptor; Farnesol receptor HRR-1; FXR; HRR1; HRR-1; hypothetical protein LOC540528; MGC163445; NR1H4; Nuclear receptor subfamily 1 group H member 4; nuclear receptor subfamily 1, group H, member 4; retinoid X receptor-interacting protein 14; RIP14; RXR-interacting protein 14; Rxrip14 | |
| Mouse | |
| Affinity Chromatography | |
| RUO | |
| 9971 | |
| -20°C, Avoid Freeze/Thaw Cycles | |
| Liquid |
Product Content Correction
Your input is important to us. Please complete this form to provide feedback related to the content on this product.
Product Title
Spot an opportunity for improvement?Share a Content Correction