missing translation for 'onlineSavingsMsg'
Learn More

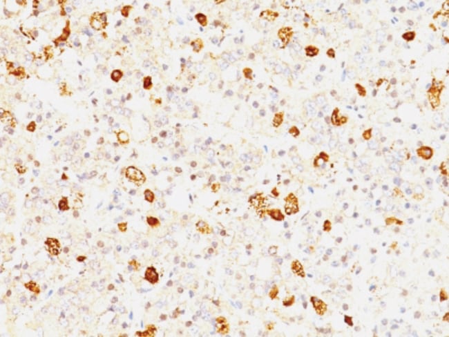
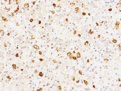
FSH-beta Mouse, Clone: FSHb/1062, enQuireBio™

Mouse Monoclonal Antibody

Brand:  EnquireBio 2488-MSM1-P1

Product Code. 15930048

  • £423.29 / 100µg

Please to purchase this item. Need a web account? Register with us today!

This item is not returnable. View return policy

Description

Description

Specifications

Specifications

FSH-beta
Cytoplasmic, secreted
FSHb/1062
Unconjugated
NP_001018090
Mouse
22kDa
Protein A/G Purified
RUO
2488
IgG1 κ
Flow Cytometry, Immunofluorescence, Immunohistochemistry
Monoclonal
200μg/mL
10mM PBS with 0.05% BSA and 0.05% azide
FSHB
Recombinant hFSH beta sub-unit
Anterior Pituitary
100 μg
Primary
Short term: Store at 2-4°C. Long term, aliquot and store at -20°C.
Product Suggestions

Product Suggestions

Videos
SDS
Documents

Documents

Certificates
Promotions

Promotions

Product Content Correction

Your input is important to us. Please complete this form to provide feedback related to the content on this product.

Product Title

By clicking Submit, you acknowledge that you may be contacted by Fisher Scientific in regards to the feedback you have provided in this form. We will not share your information for any other purposes. All contact information provided shall also be maintained in accordance with our Privacy Policy.

Thank You! Your feedback has been submitted. Fisher Scientific is always working to improve our content for you. We appreciate your feedback.