missing translation for 'onlineSavingsMsg'
Learn More
Learn More
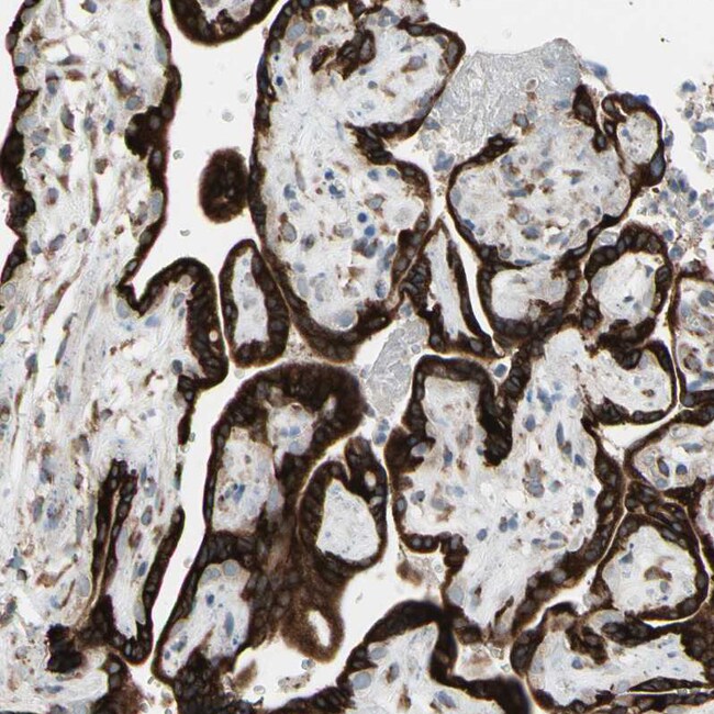
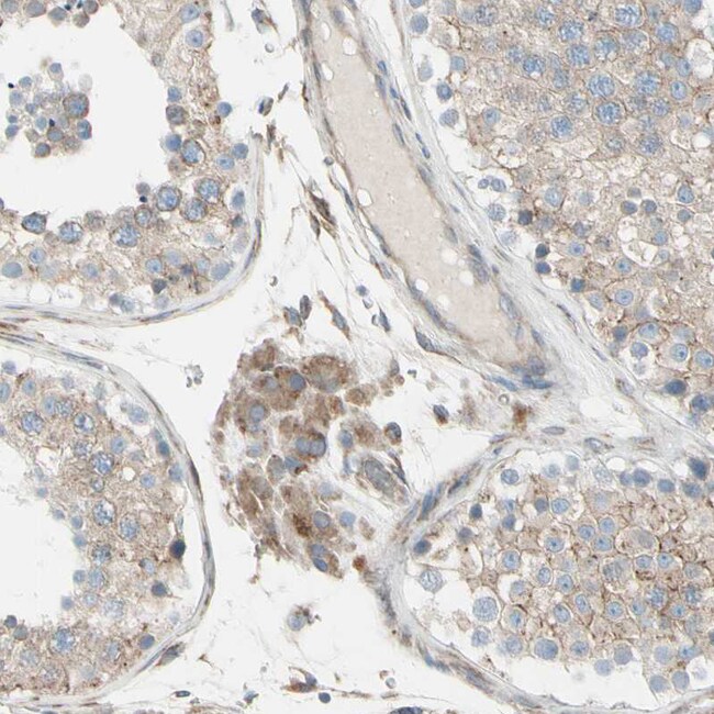
Invitrogen™ FNDC3A Polyclonal Antibody

Rabbit Polyclonal Antibody
Brand: Invitrogen™ PA552630
This item is not returnable.
View return policy
Description
Immunogen sequence: GAGDMTTQYM PQYQSSQVYG DVDAHSTHGR SNFRDERSSK TYERLQKKLK DRQGTQKDKM SSPPSSPQKC PSPINEHNGL IKGQIAGGIN TGSAKIKSGK GKGGTQVDTE IEEKDEETKA FEALLSNIVK PVA Highest antigen sequence identity to the following orthologs: Mouse - 87%, Rat - 77%.
FNDC3A gene ontology annotations related to this gene include cell-cell adhesion; fertilization; Sertoli cell development; spermatid development.
Specifications
| FNDC3A | |
| Polyclonal | |
| Unconjugated | |
| FNDC3A | |
| 1700094E19Rik; bA203I16.1; bA203I16.5; D14Ertd453e; F730017H24Rik; fibronectin domain-containing protein 3a; fibronectin type III domain containing 3a; fibronectin type-III domain-containing protein 3A; FNDC3; fndc3a; HUGO; Human gene expressed in odontoblasts; KIAA0970; sys; wu:fk65b04; zmp:0000001126 | |
| Rabbit | |
| Antigen affinity chromatography | |
| RUO | |
| 22862 | |
| Store at 4°C short term. For long term storage, store at -20°C, avoiding freeze/thaw cycles. | |
| Liquid |
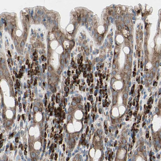
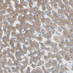
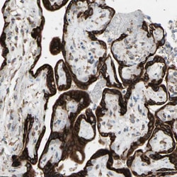
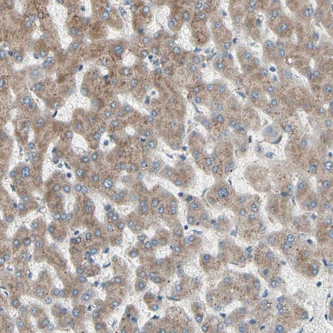
| Immunohistochemistry (Paraffin), Western Blot, Immunocytochemistry | |
| 0.20 mg/mL | |
| PBS with 40% glycerol and 0.02% sodium azide; pH 7.2 | |
| Q9Y2H6 | |
| FNDC3A | |
| Recombinant protein corresponding to Human FNDC3A. Recombinant protein control fragment (Product #RP-90047). | |
| 100 μL | |
| Primary | |
| Human | |
| Antibody | |
| IgG |
Product Content Correction
Your input is important to us. Please complete this form to provide feedback related to the content on this product.
Product Title
Spot an opportunity for improvement?Share a Content Correction