missing translation for 'onlineSavingsMsg'
Learn More
Learn More
Invitrogen™ Flotillin 1 Polyclonal Antibody

Goat Polyclonal Antibody
Brand: Invitrogen™ PA518053
This item is not returnable.
View return policy
Description
This antibody is predicted to react with bovine, canine and porcine based on sequence homology. This antibody is tested in Peptide ELISA: antibody detection limit dilution 32,000.
Caveolae are small domains on the inner cell membrane involved in vesicular trafficking and signal transduction. FLOT1 encodes a caveolae-associated, integral membrane protein. The function of flotillin 1 has not been determined.
Specifications
| Flotillin 1 | |
| Polyclonal | |
| Unconjugated | |
| FLOT1 | |
| DADB-118P11.2; Flot1; flotillin 1; Flotillin-1; I79_013152; integral membrane component of caveolae; OTTHUMP00000164855; Rareg; Reg2; REG-2; reggie-2 | |
| Goat | |
| Ammonium Sulfate Precipitation | |
| RUO | |
| 10211 | |
| -20°C, Avoid Freeze/Thaw Cycles | |
| Liquid |
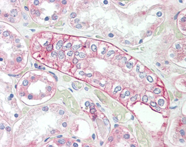
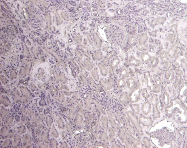
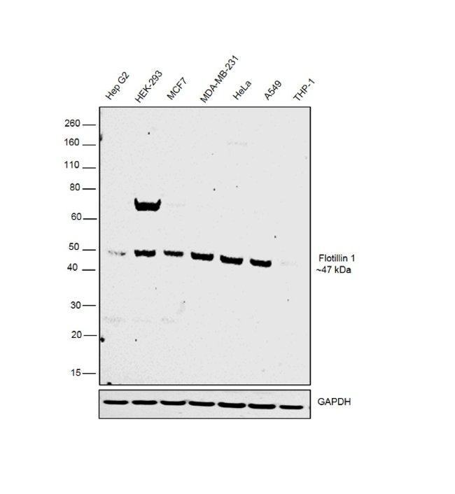
| Immunohistochemistry (Paraffin), Western Blot | |
| 0.5 mg/mL | |
| TBS with 0.5% BSA and 0.02% sodium azide; pH 7.3 | |
| O75955 | |
| FLOT1 | |
| Synthetic peptide sequence (SISQVNHKPLRTA) corresponding to the C-terminus amino acids of FLOT1 (aa 415-427). | |
| 100 μg | |
| Primary | |
| Human | |
| Antibody | |
| IgG |
Product Content Correction
Your input is important to us. Please complete this form to provide feedback related to the content on this product.
Product Title
Spot an opportunity for improvement?Share a Content Correction